KHK bei Adipositas: Neuartiger Tracer zeigt großes diagnostisches Potenzial
Vorgestellt wurde die Studie auf der Jahrestagung der Society of Nuclear Medicine and Molecular Imaging 2023 (SNMMI). Mit der 18F-Flurpiridaz-PET-MPI wurden Bilder mit einer geringeren Strahlendosis als mit der 99mTc-SPECT-MPI aufgenommen und die Ergebnisse waren sowohl bei adipösen als auch bei nicht adipösen Patienten ähnlich. Übergewichtige Menschen leiden häufig unter Erkrankungen wie Diabetes, hohem Cholesterinspiegel und hohem Blutdruck, die das Risiko einer koronaren Herzkrankheit erhöhen. Aufgrund dieser Risikofaktoren ist die Bildgebung adipöser Patienten auf KHK sehr wichtig. Krishna Patel, MD, Assistenzprofessorin für Medizin und Kardiologie an der Icahn School of Medicine am Mount Sinai in New York betont, dass es bei adipösen Patienten zu einer schlechteren Bildqualität kommen könne und somit auch zu schlechteren diagnostischen Aussagen, obwohl eine höhere Strahlendosis erforderlich sei.
Sensitivität und Spezifität berechnet
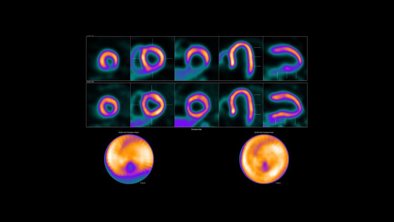
Die Studie berichtet über eine Untergruppe einer multizentrischen Phase-III-Studie mit 18F-Flurpiridaz. Insgesamt seien 604 Patienten mit Verdacht auf koronare Herzkrankheit an 48 Standorten in den Vereinigten Staaten, Kanada und Europa in die Studie aufgenommen worden. Die Patienten unterzogen sich vor der invasiven Koronarangiografie einer eintägigen 18F-Flurpiridaz-PET-MPI unter Ruhebelastung oder einer ein- oder zweitägigen 99mTc-SPECT-MPI unter Ruhebelastung. Die MPI-Bilder wurden von drei Experten begutachtet, die keine Kenntnis von den klinischen und invasiven Koronarangiografiedaten hatten. Sensitivität und Spezifität für 18F-Flurpiridaz-PET-MPI und 99mTc-SPECT-MPI wurden berechnet und dann zwischen PET und SPECT-MPI bei adipösen und nicht adipösen Gruppen verglichen.
Geringere Strahlendosis als herkömmliche 99mTc-SPECT MPI
Von den 578 Patienten mit auswertbaren Daten wurden 298 (51,6 Prozent) als adipös eingestuft. 18F-Flurpiridaz PET MPI hatte eine Sensitivität von 77 Prozent und eine Spezifität von 67 Prozent bei der Diagnose einer signifikanten koronaren Herzerkrankung, während 99mTc-SPECT MPI eine Sensitivität von 69,2 Prozent und eine Spezifität von 61,9 Prozent aufwies. Die Sensitivität, Spezifität und Genauigkeit des 18F-Flurpiridaz-PET-MPI war in den nicht adipösen und adipösen Untergruppen ähnlich. Die Forschung zeige, dass das Verfahren für die Diagnose schwerer koronarer Herzerkrankungen geeignet sei, selbst bei adipösen Patienten, und das bei einer geringeren Strahlendosis als herkömmliche 99mTc-SPECT MPI, erklärte Patel. Patel wies außerdem darauf hin, dass 18F-Flurpiridaz die Verfügbarkeit und den Zugang zu PET-Bildgebung der Myokardperfusion in den USA und möglicherweise auf der ganzen Welt erheblich verbessern könnte.
Alle Abstracts zur SNMMI-Jahrestagung 2023 finden Sie online.
Quelle: SNMMI
Artikel teilen







