05.05.26 Sylvia Kaap-Fröhlich, Katharina ÜbelhörFrom POCT management to PointS-of-CareoLogistA perspective on the effective Use of emerging competencies in biomedical laboratory professionals in the DACH region Biomedical laboratory professionals play a central role in the healthcare of both individuals and…
05.05.26 Carmen LobitzDying and Death: Part 2 – When do we talk about death?Let’s say it in English Expert article on death and dying
05.04.26 Carmen LobitzDying and Death, Part 1: What happens when a person dies?Let’s say it in English Expert article in English on Dying an Death
10.03.26 Rolf LeicherrFrom practice for the practice (43): job dissatisfaction Insufficient appreciation, stress during work and frequently excessive demands – such are some of…
05.03.26 Carmen LobitzRheumatoid arthritis – a brief overviewLet’s say it in English Expert article on rheumatoid arthritis, approximately 0.5 per cent of the world‘s population suffers…
19.02.26 Katharina BanzhafMultiple Sclerosis in Magnetic Resonance ImagingFocus "autoimmune diseases" Multiple sclerosis is widespread in Germany with around 250,000 patients. Women suffer from the…
05.02.26 Carmen LobitzAdenovirus infection and outbreaks – What is important to know? English expert article on adenoviruses
05.01.26 Carmen LobitzWerewolf syndrome in dogs – what is it? Expert article on the Werewolf syndrome in dogs
21.11.25 Alex RiemerCT Angiography in the Context of Brain Death Diagnosis A detailed guide for radiology specialists The determination of death is one of the most responsible tasks in medicine. The stipulations for…
28.10.25 Carmen LobitzUnderstanding Liver Transplantation: Short Facts About itLet’s say it in English English expert article on liver transplantation
08.10.25 Rolf LeicherFrom practice for the practice (40): the telephone The ideal conversation Telephone discussions contribute to the personal image of the medical technician, whether it is…
05.10.25 Carmen LobitzWhat do we know about Vibrio infections?Let’s say it in English English expert article on Vibrio infections
05.09.25 Carmen LobitzProstate Cancer – an OverviewLet’s say it in English English expert article on prostate cancer
05.08.25 Carmen LobitzHigh Blood Pressure FactsLet’s say it in English Expert article on high blood pressure
01.08.25 Herbert WilmsenParkinson‘s disease – an overviewFocus When James Parkinson, the son of a Scottish surgeon, published his „Essay on the Shaking Palsy“ in…
14.07.25 Ulrike KaiserTherapeutic Drug Monitoring (Part 1) This article is the first part of a new series that looks at therapeutic drug monitoring. This…
05.07.25 Carmen LobitzAlongshan-virus – short and to the pointLet's say it in English Ticks can transmit many different pathogens, including viruses. This article briefly summarizes…
05.06.25 Carmen LobitzPsoriasis – what is it?Let’s say it in English English expert article on psoriasis
05.06.25 Ulrike KaiserBacteriophages in the Circular EconomyHow bacteriophages contribute to the recycling of rare earths The latest biotechnological application of bacteriophages is phage display, which can be used for…
12.05.25 Claudia RössingNewborn Hearing ScreeningFOCUS Since 1 January 2006, and due to a decision by the Joint Federal Committee (G-BA), the highest body…
05.05.25 Carmen LobitzNewborn Screening – What’s good to know? English expert article on newborn screening
05.04.25 Carmen LobitzPoliomyelitis – What is important to know?Let’s say it in English Expert article on poliomyelitis
05.03.25 Carmen LobitzFoot-and-mouth disease – What is important?Let’s say it in English English expert article on foot-and-mouth disease
05.02.25 Carmen LobitzArteriosclerosis is an example of a vascular disease: What is...Let’s say it in English Expert article on vascular diseases
05.01.25 Carmen LobitzCommon Cattle Diseases: An OverviewLet’s say it in English English Expert Article With an Overview of Common Cattle Diseases
29.11.24 Ulrike KaiserPresentation of the learning concept ‚The Learning Box‘Focus The aim is for an advanced year, i.e. the 2nd or 3rd training year, to create this learning box for…
28.10.24 Carmen LobitzWhat Roles do Medical Technologists in Healthcare have?Let’s say it in English Expert english article on the reform of the German MTA training.
05.10.24 Carmen LobitzCushing’s Syndrome in Dogs English expert article on Cushing’s syndrome in dogs
06.09.24 Benoit BillebautThe cost of perfectionUnnecessary rejection of lateral wrist imaging A discussion about the study on the unnecessary rejection of clinically acceptable lateral wrist…
05.09.24 Carmen LobitzTransient Global AmnesiaWhat is it exactly? Expert article in English about transient global amnesia (TGA)
23.08.24 Claudia RössingParagangliomas of the head and neck regionFocus Paragangliomas (PGL) or glomus tumours have an ectodermal origin (neural crest) and develop from the…
05.08.24 Carmen LobitzEquine Influenza – What’s important to know?Let’s say it in English Expert article on Equine Influenza: What’s important to know?
15.07.24 Stefanie Amend-BarudioProgressive muscular dystrophies A number of different chronic diseases of the skeletal muscles are summarized under the term…
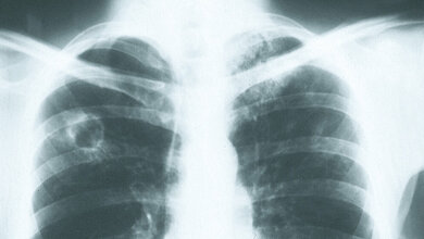
05.07.24 Carmen LobitzLung Cancer – what do we need to know? Expert article in English on lung cancer
01.06.24 Carmen LobitzTransmitted via ticks: the alpha-gal syndrome Expert article on the transmission of the alpha-gal syndrome via ticks
05.04.24 Carmen LobitzWhat about Diabetes mellitus in dogs? Expert article on diabetes mellitus in dogs
12.03.24 Claudia RössingKearns-Sayre syndromeA genetic disease with cardiological symptoms This article addresses the symptoms and therapy options for Kearns-Sayre syndrome, which is classed…
05.03.24 Carmen LobitzNeuroinfections – what should we know?Let's say it in English English expert article on neuroinfections
15.02.24 Hardy-Thorsten Panknin, Matthias TrautmannShigellosisA once-rare disease is making an unusual comeback Dr Kiyoshi Shiga (1871-1957) was the first to identify the causative agent during a massive epidemic…
20.12.23 Herbert HofGiardia intestinalisA protozoan from the flagellate group These parasites are also commonly known as lamblia, after the Bohemian physician Vilém Dušan Lambl…
05.12.23 Carmen LobitzRadiology: Prospects of virtual realityLet's say it in English Expert article about the prospects of virtual reality in radiology
19.10.23 Claudia RössingGenetic disorders that affect the hearing – biotinidase deficiency Expert article about biotinidase deficiency, a genetic disorder that affects the hearing
05.10.23 Carmen LobitzA short introduction to Peripheral Arterial Disease (PAD) Expert article on Peripheral Arterial Disease (PAD)
04.08.23 Carmen LobitzPolysomnography – A night in the sleep laboratoryLet's say it in English What does it look like in a sleep laboratory? Sleep laboratories are often located in departments of…
13.07.23 Waltraud SeitzCase study Intestinal Parasites – Hookworm infection Case study on a hookworm infection
05.06.23 Carmen LobitzFacts about Pregnancy Testing English expert article with facts about pregnancy testing
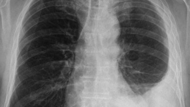
05.05.23 Carmen LobitzWhat should we know about Pneumonia?Let's say it in English English expert article on pneumonia
02.05.23 Ulrike Kaiser, Sebastian Werner, Oliver RiebeBacteriophages (Part 2): Lysotyping* Second part of the expert article on bacteriophages, esp. lysotyping
05.04.23 Carmen LobitzSemen Analysis (Spermiogram)Sperm count A semen analysis, also called a sperm count, measures the volume and analyses the quality of semen…
02.03.23 Carmen LobitzA short introduction to urinary tract infections (UTI) Expert article on urinary tract infections (UTI)
03.02.23 Carmen LobitzWhy does a lab need quality management?Let's say it in English Expert article on quality management systems
05.01.23 Carmen LobitzCould it be the Respiratory Syncytial Virus (RSV)?Let's say it in English Expert article about the respiratory syncytial virus (RSV)
03.01.23 Ulrike Kaiser, Sebastian Werner, Oliver RiebeBacteriophages (Part 1): Basics* Expert article about bacteriophages
03.01.23 Anton S. Quinsten, Annette SaurExoskeleton suit for radiology technicians – a field report Expert article about an exoskeleton suit for radiology technicians
05.12.22 Carmen LobitzMedical Crossword 2022Let's say it in English Welcome to our English MTA Dialog medical crossword in December 2022! After reading MTA Dialog this…
04.11.22 Carmen LobitzCan Vaccination alleviate Long COVID?Let's say it in English Expert article on the effectiveness of vaccination on Long COVID
01.10.22 Christine VetterMerkel cell polyomavirusA trigger of malignant Merkel cell carcinoma Expert article on the Merkel cell polyomavirus
05.09.22 Carmen LobitzRadiological diagnosis of head injuries with a CT-Scan Expert article on radiological diagnosis of head injuries with a CT scan
12.08.22 Ulrike KaiserRefresher: Immunological techniquesWestern blot Expert article on immunological techniques, especially western blot
05.08.22 Carmen LobitzEndometriosisLet’s say it in English English expert article on endometriosis: meaning, symptoms, causes, diagnosis, treatment, perception…
05.07.22 Carmen LobitzMonkeypox: Do we have to worry?Let's say it in English English expert article on monkeypox: epidemiology, diagnostics, vaccines, risks
05.06.22 Carmen LobitzLyme Disease – Important FactsLet's say it in English Expert article with important facts on Lyme disease
05.05.22 Carmen LobitzHow Infectious Diseases SpreadSome Basic Principles Expert article on the basic principles of the spread of infectious diseases.
05.05.22 Alexander Manz-VargaAnalysis of the UPR and XBP1 in the treatment of hematological... In this article, the potential of novel therapeutic options affecting the UPR and XBP1s will be…
19.04.22 Marit HüllerHand-Foot-and-Mouth DiseaseChildhood disease with seasonal occurrence Hand-foot-and-mouth disease (HFMD) is a highly contagious but mostly harmless disease in children.…
05.04.22 Carmen LobitzCholesterol – why is it so important?What is cholesterol? Cholesterol is a crucial element of the cell membrane. Our body also needs this naturally occurring…
02.03.22 Carmen LobitzOsteoporosis – Only a disease of the elderly?What is osteoporosis? Bone is a living tissue. It is persistently broken down and renewed. Osteoporosis occurs when the…
04.02.22 Carmen LobitzWhat is there to know about avian influenza?What is avian flu Avian influenza (abbreviated: avian flu/bird flu) is a zoonosis. This means that a disease is…
03.01.22 Carmen LobitzA Quick Guide to COVID-19 Booster VaccinationWhat is a booster vaccination? Booster vaccination” generally means that people receive an additional vaccine injection sometime…
07.12.21 Hans-Joachim ThielAnomalies and Norm Variants – Skeletal Changes 3.22Medial and lateral accessories of the tarsus In the tarsal region, accessory bones are repeatedly detected in skeletal and joint diagnostics of…
07.12.21 Claudia RössingGenetic Hearing Disorders – Waardenburg SyndromeAudiology The syndrome was described for the first time by the Dutch ophthalmologist Petrus Johannes…
03.12.21 Carmen LobitzMedical Crossword 2021Let's say it in English Welcome to our English MTA Dialog medical crossword in December 2021! After reading MTA Dialog this…
03.11.21 Carmen LobitzSARS-CoV-2 Antibody DetectionAntibody Testing The detection of antibodies for SARS-CoV-2 is important, because this identifies whether patients…
11.10.21 Ulrike KaiserRefresher: Particle-enhanced agglutination/Latex agglutinationEducation 1. Principle: As with all other immunological techniques, particle-enhanced agglutination, commonly…
05.10.21 Carmen LobitzPulmonary TuberculosisLet's say it in English Tuberculosis (TB) is a notifiable infectious disease that is widespread worldwide and was one of the…
13.09.21 Jochen A. WernerSmart HospitalFocal Topic The University Medical Center Essen committed itself to a long-term course back in 2015: Building on…
03.09.21 Carmen LobitzArtificial Intelligence in RadiologyLet's say it in English How can Artificial Intelligence Support Radiologists? Artificial Intelligence (AI) is based on…
02.08.21 Carmen LobitzClavicle fracture (Broken Collarbone) Quick Facts Where is the clavicle and how can it fracture? The clavicle is the only bone connecting the bones…
05.07.21 Carmen LobitzClostridium botulinumFacts About Botulism Which germ causes the disease botulism?
04.06.21 Carmen LobitzHeart CT ScanWhat is it useful for? Recent developments in CT technology have progressed to the point where diagnostic images of the…
05.05.21 Carmen LobitzCommon Parasites in CatsLet's say it in English Parasites are both fascinating and terrifying organisms. They infest their host, which are often…
26.04.21 Ulrike KaiserRefresher: HPLCChromatographic Technique Terminology The abbreviation HPLC stands either for high pressure liquid chromatography or, more…
06.04.21 Carmen LobitzThe most important blood tests (II)Let's say it in English Second part of the article on the most important blood tests. Published so far: The most important…
05.03.21 Carmen LobitzThe most important blood tests (I)Blood Analysis The most versatile method of determining the specific needs and deficiencies of a patient’s body is…
11.02.21 Marion SonnenmoserMunchhausen Syndrome by ProxyDeception and abuse for more attention Case study: Sarah (37) brings her daughter Joy (3 months) to the hospital emergency department. She…
05.02.21 Carmen LobitzForensic toxicologyLet's say it in English What is forensic toxicology? Forensic toxicology is a field of forensic medicine concerned with the…
04.01.21 Carmen LobitzOrgan donationWhat is the current situation in Germany? Organs and tissues can be donated by living people, called „the donors“. However, most organs and…
15.12.20 Ulrike KaiserRefresher: Gas chromatographyChromatographic Technique Principle: Gas chromatography (GC) is a chromatographic technique for separation of mixtures of…
02.12.20 Carmen LobitzMedical Crossword 2020Let's say it in English Welcome to our English MTA Dialog medical crossword in December 2020! After reading MTA Dialog this…
01.11.20 Carmen LobitzX-ray RadiationRadiology Who discovered it and how has the technology been developed? The German physicist Wilhelm Conrad…
12.10.20 Stefanie Amend-BarudioAlpha-1 antitrypsinThe most important facts, briefly and concisely The symptoms of this metabolic disease are very non-specific. Patients experience: • Shortness of…
01.10.20 Carmen LobitzRadiotherapy in Veterinary MedicineWhat is radiotherapy and when is it used? In general, focused radiation produces chemical radicals that impair tumour (and other) cells and…
04.09.20 Carmen LobitzColonoscopy and EnteroscopyWhat are colonoscopy and enteroscopy? Colonoscopy means the examination of the colon with a colonoscope. Additionally, tissue samples can…
02.09.20 Stefanie Amend-BarudioPleural MesotheliomaA short and succinct overview Pleural mesothelioma is a rare type of cancer which causes the development of a pleural (pulmonary…
03.08.20 Carmen LobitzSexually Transmitted Diseases (III)Let's say it in English There are four types of Sexually Transmitted Diseases (STDs) classified by their pathogens:…
06.07.20 Carmen LobitzSexually Transmitted Diseases (II)Let's say it in English There are four types of Sexually Transmitted Diseases (STDs) classified by their pathogens:…
23.06.20 Stefanie Amend-BarudioSarcoidosisNot purely a lung disease Sarcoidosis is a general systemic disease, that is, a disease of the entire body, and not a lung…
05.06.20 Carmen LobitzSexually Transmitted Diseases (I)Let's say it in English What are Sexually Transmitted Diseases (STDs)? STDs are diseases that are transmitted via various…
14.05.20 Helene OberreuterA needle in a haystack …… or applied consumer protection in the Food Microbiology Laboratory at the Chemical and Veterinary Investigations Office in Stuttgart, Germany A call comes in to the CVUA in Stuttgart from a veterinary office: an old gentleman is lying in the…
01.05.20 Carmen LobitzFood Analysis – Pathogenic Bacteria in FoodLet's say it in English Repeatedly, newspaper headlines feature corporate scandals concerning germs in food. Most recently…
01.04.20 Carmen LobitzThe three major skin cancer types (II)Skin Cancer In the January issue 2020, I described the basics of skin cancer. In this issue I am going to…
06.03.20 Claudia RössingAllergology (Part 7)Clinical pictures (II) Allergic contact eczema Allergic contact eczema is a Coombs and Gell type IV hypersensitivity…
02.03.20 Carmen LobitzCoronavirusCurrently known facts about SARS-CoV-2 (previously 2019-nCoV) In December 2019 there was a cluster of pneumoniae cases in the Chinese city of Wuhan (pop. approx.…
02.02.20 Carmen LobitzOverdiagnosis – Less is MoreLet's say it in English “WHY THEN, CAN ONE DESIRE TOO MUCH OF A GOOD THING?” William Shakespeare, As You Like It (1600 AD)
01.01.20 Carmen LobitzSkin Cancer – When skin cells grow abnormallyBasic Information (I) It’s winter and it’ll take a while until next summer: nevertheless, this article provides general…
03.12.19 Carmen LobitzMedical Crossword 2019Let's say it in English Welcome to our English MTA Dialog medical crossword in December 2019! After reading MTA Dialog 2019…
08.11.19 Marit HüllerTsutsugamushi fever (scrub typhus)Infectious Disease Tsutsugamushi fever (scrub typhus) is an infectious disease that is endemic in South, East and…
02.11.19 Carmen LobitzFive Words about the usage of a DosimeterDosimetry in medicine In various professions where people are exposed to radiation it is very important to know how that…
03.10.19 Carmen LobitzDengue Fever – a Short OverviewLet's say it in English Worldwide, about 390 million people are infected with the Dengue virus each year. The number of…
13.09.19 Marit HüllerFrontotemporal DementiaA rare and difficult diagnosis In contrast to Alzheimer‘s dementia, frontotemporal dementia (FTD) is a rare form of dementia. Only…
05.09.19 Carmen LobitzA Stroke in a NutshellLet's say it in English A stroke can happen to anyone at any time and to all age groups – from unborns, to newborns,…
05.08.19 Carmen LobitzHuman Papillomaviruses (HPV)Let's say it in English What is HPV? We know about 200 different types of human papillomaviruses (HPV) of which about 40…
22.07.19 Rebekka Förster, Sebastian Kirschke, André BuchaliRadiotherapy of left-sided breast cancer in deep inspiration breath...Radiotherapy Breast cancer is the most common malignancy in women worldwide, accounting for 32 % of cases. In…
05.07.19 Carmen LobitzInsect Venom AllergyBee Sting Allergy What is an insect venom allergy? This is when someone gets bitten or stung by an insect and shows an…
07.06.19 Marit HüllerPlummer-Vinson syndromeAn iron deficiency disease As a result of an iron deficiency, a typical complex of symptoms develops with Plummer-Vinson…
05.06.19 Carmen LobitzVeterinary medicineEquine MRI (MRI of a horse) The world has heard about magnetic resonance imaging (MRI) scanning as a diagnostic tool for human…
05.05.19 Carmen LobitzThe Human Sensory OrgansLet's say it in English What are senses? A sense is the ability to perceive stimuli from the environment and the own body.…
05.04.19 Carmen LobitzDigital Transformation of the Working WorldLet's say it in English The terms digitization, digitalization and digital transformation can often be confused due to their…
02.04.19 Aaron SabanagicImmuno-PCRLaboratory diagnosis The development of a reliable, rapid, sensitive and specific laboratory test for the diagnosis of…
05.03.19 Carmen LobitzDisinfection in Health Care FacilitiesLet’s say it in English In health care facilities, risks exist. The employees are the most at risk. Firstly, the risk of…
03.01.19 Carmen LobitzYou Better Take Care of Your Gut BacteriaLet's say it in English Less than ten years ago, most people were unaware of the critical role the microbiome plays within…
30.11.18 Natascha HessGender medicine in cardiologyCardiovascular diseases Gender medicine investigates gender-specific differences in the symptoms, diagnosis and therapy of…
30.11.18 Carmen LobitzMedical Crossword 2018Let's say it in English Welcome to our English MTA Dialog medical crossword in December 2018! With this feature you may test…
05.11.18 Franziska WyschkowskiCone-beam breast CTA new development in breast diagnostics Breast cancer is the most common malignant disease diagnosed in women in Germany, accounting for…
01.11.18 Carmen LobitzPhysiology of the HeartLet's say it in English The heart lies in the center of the thoracic cavity, also called the mediastinum. It has four…
01.10.18 Carmen LobitzUltrasound ExaminationsLet’s say it in English What is ultrasound? Ultrasound is a sound wave with a frequency in the megahertz range (between 1…
02.09.18 Carmen LobitzGeneralized Anxiety DisorderLet's say it in English Generalized Anxiety Disorder is characterized by persistent and excessive anxiety and worry.…
31.07.18 Carmen LobitzAfrican Swine FeverLet’s say it in English What is African swine fever? African swine fever is a deadly animal disease that only appears among…
02.07.18 Carmen LobitzNipah VirusLet’s say it in English What is known about the Nipah virus disease? The Nipah virus (NiV) causes a severe infectious…
05.06.18 Ralf LichtinghagenA basic guide to thyroid diagnosticsThyroid The thyroid produces the hormones triiodothyronine (T3, biologically the more active form) and…
29.05.18 Carmen LobitzThe Function of the Adrenal GlandsLet’s say it in English The two adrenal glands of the human body are very important and secrete various hormones.
02.05.18 Carmen LobitzThe Function of the Thyroid and Parathyroid GlandLet’s say it in English How is the thyroid gland structured? The thyroid gland surrounds the trachea, just below the larynx.…
27.03.18 Carmen LobitzThe Spinal CordLet’s say it in English The spinal cord is of great importance to the nervous system and to the whole body.
01.03.18 Carmen LobitzThe BrainAn anatomical overview of the Brain and its Regions What kind of brain regions do we distinguish?
09.02.18 Laura Isabel KochCase reportStatus epilepticus (clinically focal) Aetiology: Status epilepticus can be triggered by infection, withdrawal of drugs or medications used…
30.01.18 Carmen LobitzNervous System (2)Types of Neurons, Nerves and Nerve Tracts A nerve is a bundle of nerve fibers, which are the axons of the neurons. A nerve connects the CNS…
02.01.18 Carmen LobitzNervous SystemNerve Tissue, Neurons, Nerve Impulses What are the components of the nervous system? The nervous system has two complimentary parts: the…
07.12.17 Hans-Joachim ThielAnomalies and normal variantsInternal changes 2.1 Horseshoe kidney The kidneys can exhibit various variants and anomalies. The incidence of horseshoe kidneys is 1 in…
01.12.17 Carmen LobitzMedical Crossword 2017Let's say it in English Welcome to our English MTA Dialog medical crossword in December 2017! With this feature you may test…
03.11.17 Carmen LobitzAlzheimer’s DiseaseCauses and Symptoms Worldwide, around 24 million people are affected by dementia. Alzheimer’s disease (AD) is a form of…
02.11.17 Marit HüllerChagas DiseaseNot only Latin America is affected Chagas disease, also known as American trypanosomiasis, is an infectious disease caused by the…
27.09.17 Carmen LobitzThe Kidney (3)Examples for Treatments and Therapy The cases of kidney diseases can be classified as acute or chronic diseases. Unfortunately, some…
17.09.17 Jacqueline FluxPAD – a disease for markersPrognosis via the ankle brachial index Cardiovascular disorders represent the most common cause of death in industrialised countries.…
02.09.17 Carmen LobitzThe Kidney (2)Diseases and Conditions As described in the last issue, the kidneys are essential and hardworking organs. Many diseases can…
01.08.17 Carmen LobitzThe Kidney (1)Location, Anatomy & Function The kidneys are essential and hardworking organs, one might compare them to the liver. Many…
03.07.17 Carmen LobitzSchizophreniaWhat is the Mental Illness Schizophrenia? First, I would like to explain what schizophrenia is. One common myth is, that a schizophrenic…
30.06.17 Claudia Kapek, Günter EngelhardSuppression Head Impulse Paradigm (SHIMP)Extension of diagnostic capabilities The head impulse test (HIT), and in particular the instrumental setup (video head impulse test,…
12.06.17 Matthias PühseThe use of tumour markersPotential and limitations Tumor markers are efficient biomarkers for the monitoring of malignant diseases. For screening…
30.05.17 Carmen LobitzThe Liver (3)Diagnostic Tests and Clinical Significance If a patient has a liver disease, laboratory tests, radiologic diagnostic and possibly histological…
01.05.17 Carmen LobitzThe Liver (2)Diseases and Conditions Regardless the cause of a liver disease – they can be inherited (genetic) or caused by a variety of…
30.03.17 Carmen LobitzThe Liver (1)Location, Anatomy & Function The liver function is essential for the human physiology. Without the liver we could not live.
09.03.17 Hardy-Thorsten Panknin, Matthias TrautmannTuberculosis in the workplaceHow high is the risk of infection? In outpatient clinics and hospitals, the occurence of unexpected cases of active tuberculosis (TB)…
02.03.17 Carmen LobitzLearning Genetics (2)CRISPR-Cas9 system – A Kind of a Memory Emmanuelle Charpentier and Jennifer Doudna discovered the CRISPR-Cas9 system in 2011.
01.02.17 Carmen LobitzLearning Genetics (1)DNA Microarray DNA microarray analysis has recently become one of the fastest growing new technologies in the field…
02.01.17 Carmen LobitzHIV/AIDSStill an important issue HIV stands for “Human Immuno Deficiency Virus”. During this infection the body is no longer able to…
01.01.17 Anne-Marie Ksoll, Bernhard SorhageMalassezia furfurCausative agent of Tinea and Malassezia folliculitis Malassezia furfur is a saprophyte of the physiological microflora of the human skin. This obligate…
03.12.16 Carmen LobitzMedical Crossword 2016Let’s say it in English Welcome to our English MTA Dialog medical crossword in December 2016! With this feature you may test…
03.11.16 Carmen LobitzUrinalyses in the Veterinary ClinicLet’s say it in English Urinalyses are very helpful if there’s a suspicion on a disease an animal might have.
02.10.16 Carmen LobitzBlood Cultures in the Veterinary ClinicBlood Cultures A few bacteria may enter the bloodstream (bacteremia), in case of a localized infection, but they…
08.09.16 Reinhild Herwartz, Roland FuchsLymphocytes with hair-like projectionsAn exciting finding The occurrence of irregular cell contours especially in B lymphocytes is physiologically and…
31.08.16 Carmen LobitzReactions and PrecautionsContrast Media (2) Side effects and body reactions of contrast media are rare and usually very mild. Nevertheless, some…
02.08.16 Carmen LobitzWhat are contrast materials and which are available?Contrast Media (1): A very basic introduction Distinguishing normal from abnormal conditions in internal organs, contrast materials, also called…
24.07.16 Andreas KnappThe fundamental elements of radiographyClinical Reasoning Clinical reasoning refers to all of the thinking and decision-making processes used by the therapist…
15.07.16 Hans-Joachim ThielChance findings: Aortic sclerosis and atherosclerosisCross-sectional diagnostic imaging of the spine (7.30) Aortic sclerosis and atherosclerosis are also secondary findings in cross-sectional imaging…
24.06.16 Carmen LobitzWhat’s important to know?Listeriosis Spiegel online titled on May 30th 2016: „Listerien-Fund: Wurstfirma ruft alle Produkte zurück“…
31.05.16 Carmen LobitzAB0 System and Rh Factor: What exactly is the AB0 System?Serologic Tests (2) The AB0 grouping system is of primary importance. Since every human has one of the four blood types…
30.03.16 Carmen LobitzHow to screen blood for transfusionsSerologic Tests (1): Blood Donation Med Techs need to know the latest methods about blood screening for transfusions, since patients are…