Anomalien und Normvarianten
Zusammenfassung
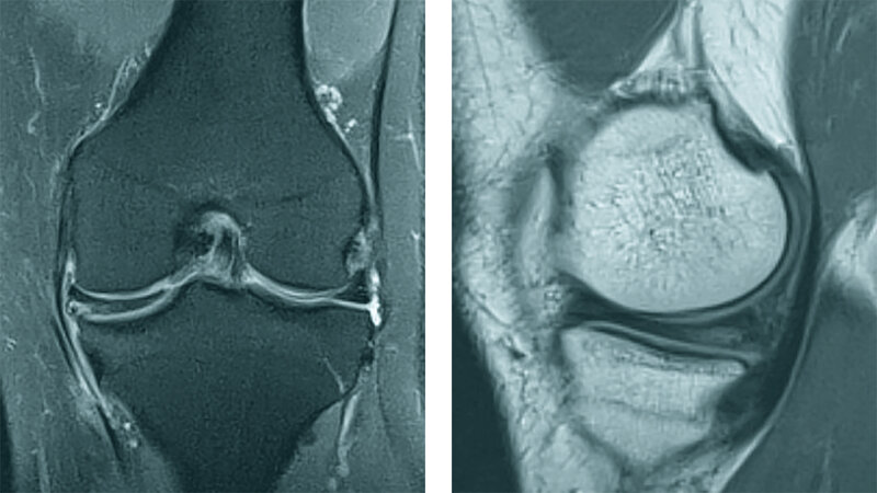
Der Scheibenmeniskus ist eine abnorme Meniskusvariation. Die klinische Symptomatik ist variabel und kann asymptomatisch sein, knirschend oder blockierend sowie Schmerzen und Schwellung verursachen. Die partielle Meniskektomie mit Schonung der stabilen peripheren Region in Kombination mit oder ohne peripherer Reparatur verspricht gute kurz-, mittel- und langfristige Ergebnisse.
Schlüsselwörter: Scheibenmeniskus, MRT
Abstract
Discoid meniscus is a common abnormal meniscus variant. The clinical presentation varies from being asymptomatic to snapping, locking, and causing severe pain and swelling of the knee. Partial meniscectomy with preservation of a stable peripheral rim combined with or without peripheral repair is effective, and good short-, mid- and long-term clinical results have been reported.
Keywords: discoid meniscus, MRI
DOI: 10.3238/MTADIALOG.2018.1034
Entnommen aus MTA Dialog 12/2018
Dann nutzen Sie jetzt unser Probe-Abonnement mit 3 Ausgaben zum Kennenlernpreis von € 19,90.
Jetzt Abonnent werden
