Anomalien und Normvarianten
Zusammenfassung
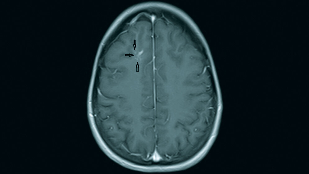
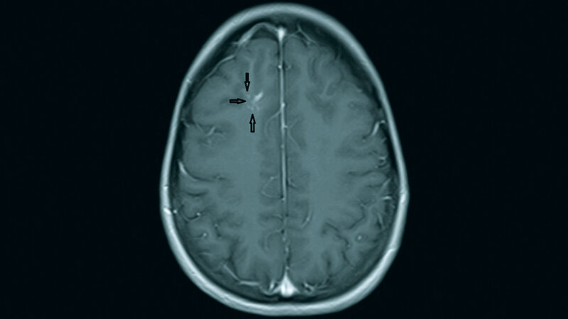
Zerebrale venöse Angiome stellen primär eine Variante der normalen venösen Gefäßarchitektur des Gehirns dar. Komplikationen können auftreten, und ihr Management erfordert ein Verständnis der Natur der Gefäßfehlbildung.
Schlüsselwörter: Zerebrales venöses Angiom, Multislice-CT, MRT
Abstract
Developmental venous anomalies represent variations of the normal cerebral venous angioarchitecture. Complications can, however, occur and their management requires a thorough understanding of the nature of DVA.
Keywords: Cerebral developmental venous anomaly, multislice-CT, MRI
DOI: 10.3238/MTADIALOG.2018.0668
Entnommen aus MTA Dialog 8/2018
Dann nutzen Sie jetzt unser Probe-Abonnement mit 3 Ausgaben zum Kennenlernpreis von € 19,90.
Jetzt Abonnent werden





