Anomalien und Normvarianten – Interne Veränderungen 2.10
Zusammenfassung
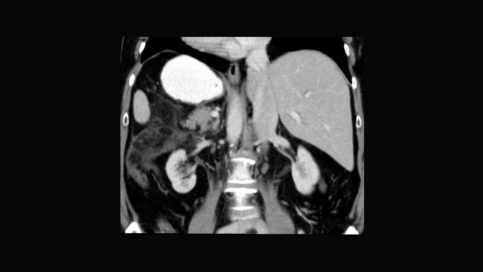
Die Ätiologie des Situs inversus totalis ist unklar. Isoliert vorkommend ist er bei Neugeborenen und auch Erwachsenen asymptomatisch.
Schlüsselwörter: Situs inversus totalis, Röntgen, CT, MRT
Abstract
The etiology of situs inversus totalis remains uncertain. Isolated situs inversus totalis is usually asymptomatic in the neonate and adults.
Keywords: Situs inversus totalis, x-ray, CT, MRI
DOI: 10.3238/MTADIALOG.2021.0286
Entnommen aus MTA Dialog 4/2021
Dann nutzen Sie jetzt unser Probe-Abonnement mit 3 Ausgaben zum Kennenlernpreis von € 19,90.
Jetzt Abonnent werden
