Anomalien und Normvarianten – Interne Veränderungen 2.14: Nierenmalrotation
Zusammenfassung
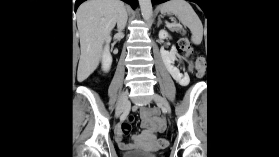
Der obere Harntrakt ist die von den meisten kongenitalen Anomalien betroffene Region des Menschen. Eine Malrotation kann mit anderen Anomalien wie Nierenektopie oder Harnleiterduplikatur vergesellschaftet sein. Die intravenöse Urografie ist durch die CT- und MR-Urografie ersetzt worden. Die Kombination von Nierenmalrotation und Hydronephrose kann eine chirurgische Herausforderung sein.
Schlüsselwörter: Nierenmalrotation, CT, MRT
Abstract
The upper urinary tract is the most common human system affected by congenital anomalies. A malrotation can be associated with other anomalies such as ectopic kidney or ureteral duplication. Intravenous urography has been replaced by CT and MR urography. Hydronephrosis associated with kidney malrotation can be a surgical challenge.
Keywords: malrotation of kidney, CT, MRI
DOI: 10.53180/MTADIALOG.2022.0528
Entnommen aus MTA Dialog 7/2022
Dann nutzen Sie jetzt unser Probe-Abonnement mit 3 Ausgaben zum Kennenlernpreis von € 19,90.
Jetzt Abonnent werden







