Anomalien und Normvarianten – Interne Veränderungen 2.17: Colon elongatum
Zusammenfassung
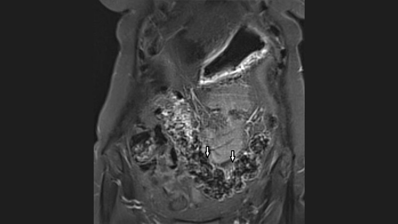
Das Dolichokolon ist eine angeborene Variante des Dickdarms, charakterisiert durch eine Verlängerung und Dilatation, insbesondere des Sigmoids. Es kann eine Symptomtrias mit chronischen abdominellen Schmerzen, Obstipation und Blähungen präsentieren.
Schlüsselwörter: Colon elongatum, Dolichokolon, Röntgen, CT, MRT
Abstract
Dolichocolon is an inborn anatomic variant, characterized by elongation and also by dilatation of the colon, especially the sigmoid. It can present with a triad of chronic abdominal pain, constipation and bloating.
Keywords: Colon elongatum, dolichocolon, X-ray, CT, MRI
DOI: 10.53180/MTIMDIALOG.2023.0356
Entnommen aus MT im Dialog 5/2023
Dann nutzen Sie jetzt unser Probe-Abonnement mit 3 Ausgaben zum Kennenlernpreis von € 19,90.
Jetzt Abonnent werden







