Anomalien und Normvarianten – Skelettale Veränderungen 3.42: Digitus quintus varus superductus
Zusammenfassung
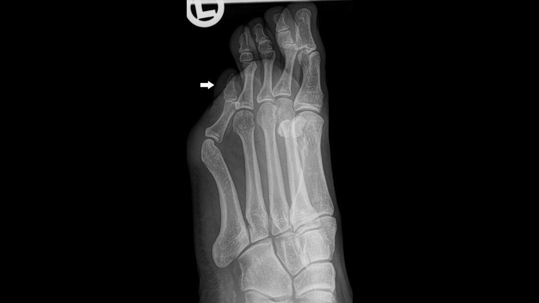
Das Überlappen der 5. Zehe ist meist eine kongenitale Deformität mit dorsaler Subluxation und Adduktion des 5. Metatarsophalangealgelenks. Die Fehlposition der 5. Zehe mit Überlappen der 4. Zehe ist ein Befund in der Orthopädie, der selten einer operativen Korrektur bedarf.
Schlüsselwörter: Digitus quintus varus superductus, Röntgen, CT, MRT
Abstract
Overlapping fifth toe is thought to be a congenital deformity characterized by the proximal phalanx dorsally subluxating and adducting on the fifth metatarsophalangeal joint. It is a finding in orthopaedics which rarely requires operative therapy.
Keywords: digitus quintus varus superductus, x-ray, CT, MRI
DOI: 10.53180/MTIMDIALOG.2026.0122
Entnommen aus MT im Dialog 02/2026
Dann nutzen Sie jetzt unser Probe-Abonnement mit 3 Ausgaben zum Kennenlernpreis von € 19,90.
Jetzt Abonnent werden



