Anomalien und Normvarianten: Vaskuläre Malformation 1.6
Zusammenfassung
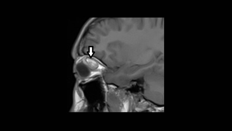
Vaskuläre Anomalien sind eine diagnostische und therapeutische Herausforderung. Isolierte venöse Malformationen kommen unter den intraorbitalen Gefäßanomalien am häufigsten vor, gefolgt von den lymphatischen und arteriovenösen. Die klinische Symptomatik kann visuelle oder okulomotorische Störung, Schmerz, Ptosis oder akute Blutung sein.
Schlüsselwörter: Orbitale vaskuläre Malformation, intraorbitale AV-Malformation, MRT
Abstract
Vascular anomalies are a diagnostic and therapeutic challenge. Isolated venous malformations are the most frequent among vascular malformations inside the orbita, also lymphatic and arteriovenous malformations. The clinical symptoms can be visual or oculomotor alteration, pain, ptosis or acute bleeding.
Keywords: Orbital vascular malformation, intraorbital arteriovenous malformation, MRI
DOI: 10.53180/MTADIALOG.2022.0202
Entnommen aus MTA Dialog 3/2022
Dann nutzen Sie jetzt unser Probe-Abonnement mit 3 Ausgaben zum Kennenlernpreis von € 19,90.
Jetzt Abonnent werden
