Anomalien und Normvarianten – Zerebrale Veränderungen 4.2
Zusammenfassung
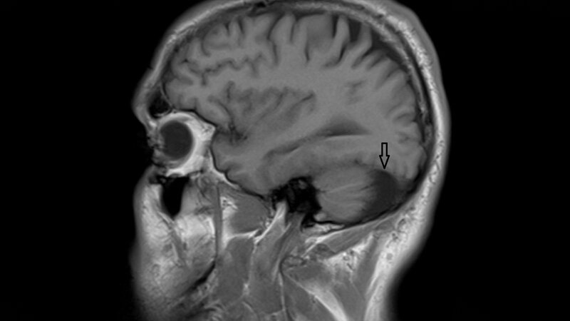
Arachnoidalzysten stellen etwa 1 % der intrakraniellen Raumforderungen dar. Der Mechanismus der Zystenvergrößerung wird kontrovers diskutiert. Der Gehalt an Proteinen der Arachnoidalzysten und des zerebrospinalen Liquors erscheint relativ ähnlich, doch gibt es eine bestimmte Anzahl an Proteinen, die sich signifikant unterscheiden. Das kann auf eine Veränderung der Proteine durch den Füllmechanismus oder auf eine Wirkung der Zystenmembran zurückzuführen sein. Bei Patienten mit Cluster-Kopfschmerz sollte eine KM-assistierte MRT bei normaler neurologischer Untersuchung erfolgen.
Schlüsselwörter: CT, MRT, Kopf, Arachnoidalzyste
Abstract
Arachnoid cysts are common, accounting for approximately 1 % of intracranial mass lesions. The mechanism of enlargement of arachnoid cysts is controversial. The protein content of arachnoid cyst fluid and cerebrospinal fluid appears to be similar. There are proteins that were significantly differentially abundant between arachnoid cyst fluid and cerebrospinal fluid. This could reflect the possibility that these proteins are affected by the filling mechanism of arachnoid cysts or are shed from the membranes into arachnoid cyst fluid. Neuroimaging, preferably contrast-enhanced magnetic resonance imaging should always be considered in patients with cluster headache despite normal neurological examination.
Keywords: CT, MRI, head, arachnoid cyst
DOI: 10.3238/MTADIALOG.2020.0116
Entnommen aus MTA Dialog 2/2020
Dann nutzen Sie jetzt unser Probe-Abonnement mit 3 Ausgaben zum Kennenlernpreis von € 19,90.
Jetzt Abonnent werden
