Anomalien und Normvarianten – Zerebrale Veränderungen 4.4
Zusammenfassung
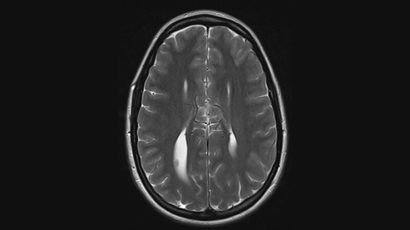
Die Kolpozephalie ist eine angeborene Malformation des Ventrikelsystems des Gehirns. Die Balkenagenesie kann isoliert vorkommen oder in Assoziation mit anderen neuroanatomischen Veränderungen beziehungsweise angeborenen Anomalien.
Schlüsselwörter: Kolpozephalie, Dysgenesie des Corpus callosum, CT, MRT
Abstract
Colpocephaly is a congenital abnormality in the ventricular system of the brain. Agenesis of corpus callosum may be isolate, or occur in association with other neuroanatomical lesions or congenital anomalies.
Keywords: colpocephaly, dysgenesis of corpus callosum, CT, MRI
DOI: 10.3238/MTADIALOG.2021.0360
Entnommen aus MTA Dialog 5/2021
Dann nutzen Sie jetzt unser Probe-Abonnement mit 3 Ausgaben zum Kennenlernpreis von € 19,90.
Jetzt Abonnent werden
