„Die Arbeit liefert ein weiteres Kriterium, das wir heranziehen können, um die Sicherheit unserer Patienten zu erhöhen“, kommentiert für die Deutsche Gesellschaft für Neurologie (DGN) Prof. Carsten Lukas vom Institut für Diagnostische und Interventionelle Radiologie am St. Josef Hospital Bochum.
Dilemma neuer Medikamente
Hintergrund der Studie, die kürzlich veröffentlicht wurde, ist ein Dilemma, das mit der Einführung bestimmter neuer immunsuppressiver Medikamente aufgetreten ist. Diese Präparate können in vielen Fällen, wo die Standardarzneien versagen, den Verlauf der Multiplen Sklerose bremsen. Erkauft wird dies aber mit einer seltenen Nebenwirkung, die sogar tödlich verlaufen kann: der progressiven multifokalen Leukenzephalopathie (PML).
„Das ist bei der Therapie mit dem Medikament Natalizumab das kritischste Thema, wird aber auch für Fingolimod und Dimethylfumarat diskutiert“, erläutert Prof. Heinz Wiendl von der Deutschen Multiple Sklerose Gesellschaft (DMSG). Der Direktor der Klinik für Allgemeine Neurologie am Universitätsklinikum Münster hat bereits etwa 20 Fälle von PML unter seinen Patienten beobachtet. „Je früher ich das sehe, umso früher kann ich eingreifen und desto besser ist es für den Patienten.“
Charakteristisches Muster schon vor den ersten Symptomen
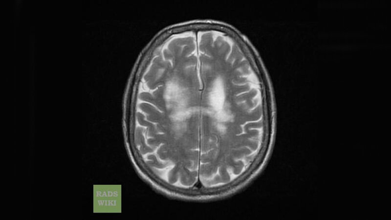
Ebenso viele Patienten mit PML wie Wiendl untersuchte das französische Forscherteam um Dr. Jérôme Hodel von der Universität Lille mehrmals im Krankheitsverlauf mit einem besonders leistungsstarken Magnetresonanztomographen (MRT). Als Vergleichsgruppe dienten 80 weitere Studienteilnehmer ohne PML, die entweder an Multipler Sklerose erkrankt waren oder an einer möglichen Vorstufe, dem klinisch isolierten Syndrom. Die Auswertung der Bilder ergab, dass 18 der 20 PML-Patienten ein charakteristisches punktförmiges Läsionsmuster im Gehirn hatten, darunter alle 14 Patienten, die das MS-Medikament Natalizumab bekommen hatten. In der Kontrollgruppe wurde das „Pünktchenmuster“ dagegen kein einziges Mal beobachtet.
Aufnahmen, die bereits vor dem Ausbruch der PML bei 9 Patienten unter Natalizumab angefertigt wurden, zeigten das Muster zudem bei 7 dieser Patienten. Die Läsionsmuster seien deshalb „ein hochspezifisches Merkmal der PML und vielleicht das erste Bildgebungsmerkmal in der vorsymptomatischen Phase mit potenziellen Implikationen für die Versorgung der Patienten“, schreiben Hodel und Kollegen.
MRT ist integraler Bestandteil
„Die MRT ist integraler Bestandteil in der Gesamtbetrachtung der Multiplen Sklerose, und die frühzeitige Diagnose einer PML hat entscheidenden Einfluss auf die weitere Prognose“, bekräftigt der Neuroradiologe Lukas. Bei gefährdeten Patienten könnten die beschriebenen Läsionsmuster den Verdacht auf eine PML erheblich unterstützen. Bemerkenswert sei schließlich, dass das Läsionsmuster sogar in solchen Fällen vorhanden war, bei denen man den eigentlichen Auslöser der Krankheit – das JC-Virus – nicht einmal mit einem hochempfindlichen Gentest (PCR) nachweisen konnte.
Keine perfekte Abgrenzung
„Eine Schwäche der vorliegenden Arbeit ist es jedoch, dass als Kontrollgruppe lediglich MS-Patienten oder Patienten mit einem klinisch isolierten Syndrom dienten“, so Lukas. Ein punktförmiges Läsionsmuster ist nicht nur bei der PML, sondern auch bei unterschiedlichen Erkrankungen ohne Bezug zu einer PML beschrieben worden. Ob das beschriebene Läsionsmuster auch die Abgrenzung einer PML bei anderen Erkrankungen, zum Beispiel zwischen einer PML bei einer Sarkoidose und einer Neurosarkoidose ermöglicht, bleibt daher noch unklar.
In der Praxis verfügen zwar längst nicht alle Einrichtungen über ein derart leistungsstarkes MRT mit einer Feldstärke von drei Tesla, wie Hodel und Kollegen es nutzen konnten. In Deutschland seien es jedoch mindestens 15 – 19 Zentren mit entsprechender technischer und personeller Ausstattung, die sich im Krankheitsbezogenen Kompetenznetz Multiple Sklerose (KKMS) zusammengeschlossen haben. „Allerdings wird es einen 100-prozentigen Test auf eine PML so schnell nicht geben“, relativiert Wiendl die Bedeutung der neuen Facharbeit.
Standardisierung der MRT-Protokolle
In seiner Klinik hat der stellvertretende Sprecher des KKMS unter den ca. 20 Patienten mit PML das Pünktchenmuster lediglich in 2 Fällen gesehen. Die Arbeit bringt deshalb zunächst nur ein neues Muster in die Debatte, und die Diagnose erfolgt derzeit noch mit einer Kombination aus neurologischen Tests, Liquoruntersuchungen und MRT. Weitere Kriterien, wie die Gegenwart und das Verhältnis spezifischer Antikörper, werden beispielsweise in Bochum in klinischen Studien auf ihre Praxistauglichkeit untersucht. Nicht zuletzt arbeitet man aktuell an der Standardisierung der MRT-Protokolle, um eine bessere Vergleichbarkeit der Ergebnisse verschiedener Arbeitsgruppen, aber auch der Befunde in der klinischen Routine zu gewährleisten. (idw, red)
Hodel J. et al. (2016): Punctate pattern. A promising imaging marker for the diagnosis of natalizumab-associated PML. Neurology 86:1516–1523
Lukas, C., Sailer, M. (2015): Magnetresonanztomografie bei Patienten mit Multipler Sklerose: Relevanz in der Diagnose und Verlaufsbeurteilung. Klin Neurophysiol. 46, 111–122
Wattjes, M. P. et al. (2015): Evidence-based guidelines: MAGNIMS consensus guidelines on the use of MRI in multiple sclerosis--establishing disease prognosis and monitoring patients. Nature Reviews Neurology Online.
Artikel teilen




