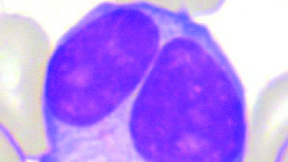
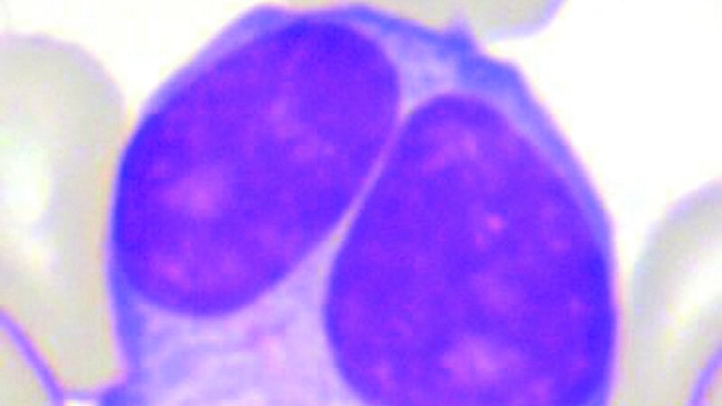
Der binukleäre Lymphozyt ist eine seltene Variante atypischer Lymphozyten mit einer hohen diagnostischen Aussagekraft.
Dem zytologischen Nachweis des binukleären Lymphozyten kommt eine wichtige Bedeutung bei der Diagnose einer polyklonalen persistierenden B-Lymphozytose (PPBL) zu. Die Herausforderung der Erkennung ist groß und setzt sorgfältige Mikroskopie voraus, da nur ein kleiner Teil der Zellen im peripheren Blut binukleär ist.
DOI: 10.3238/MTADIALOG.2016.0138
Sie möchten die Zeitschrift abonnieren und auf alle Inhalte zugreifen?
Dann nutzen Sie jetzt unser Probe-Abonnement mit 3 Ausgaben zum Kennenlernpreis von € 19,90.
Jetzt Abonnent werden
