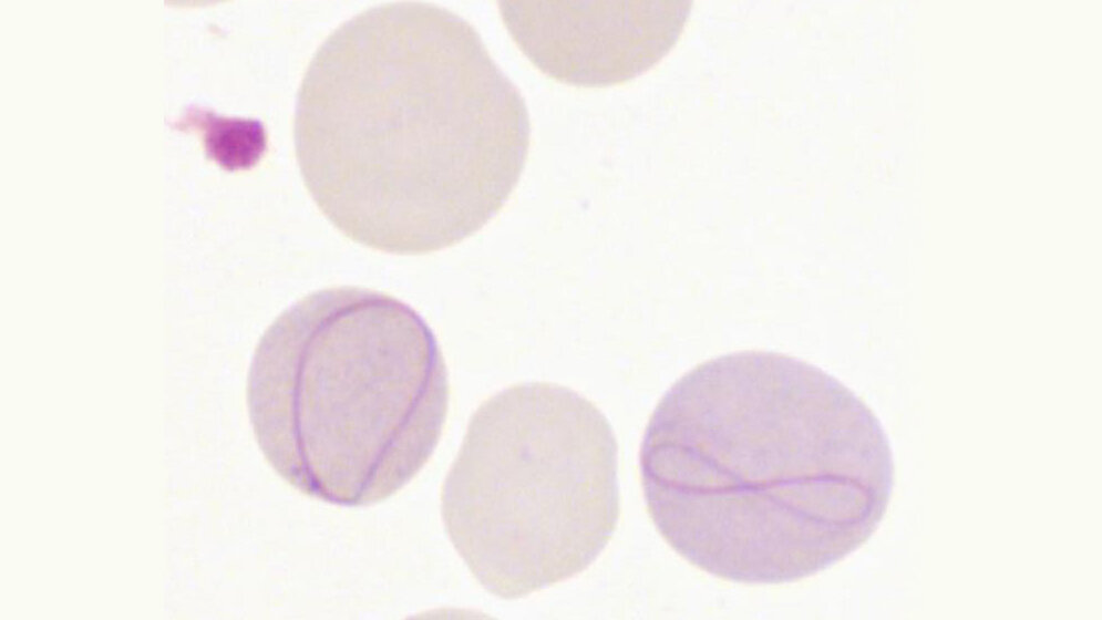
Cabot-Ringe oder auch Cabot-Schleip-Ringe wurden erstmals 1903 vom US-amerikanischen Arzt Richard Clarke Cabot (1868–1939) und Karl Schleip, Internist aus Freiburg, beschrieben.
Es handelt sich meist um zarte ring- oder schleifenförmige Inklusionen im Zytoplasma der Erythrozyten und Retikulozyten, die sich in der Pappenheimfärbung rot violett anfärben. Die Form einer Acht ist neben der häufigeren Ringform ebenfalls anzutreffen.
Sie möchten die Zeitschrift abonnieren und auf alle Inhalte zugreifen?
Dann nutzen Sie jetzt unser Probe-Abonnement mit 3 Ausgaben zum Kennenlernpreis von € 19,90.
Jetzt Abonnent werden
