COVID-19 und die morphologischen Veränderungen der Zellen im peripheren Blutausstrich

Zusammenfassung
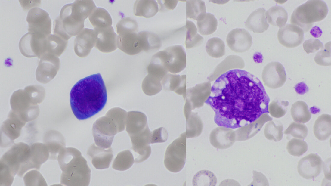
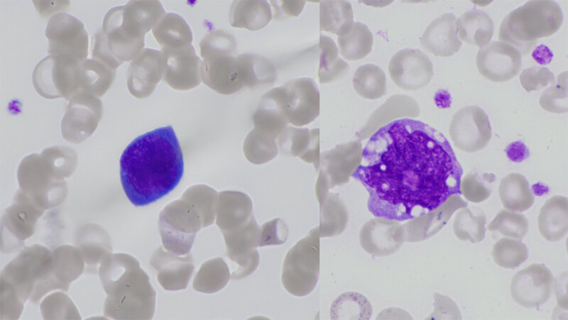
Seit Ende 2019 ist die Infektion mit COVID-19 ein ständiger Begleiter geworden. In der Morphologie gab es zu Beginn der ersten Welle Fallbeschreibungen zu morphologischen Zellveränderungen im peripheren Blut. Am Universitätsklinikum Regensburg erfolgte im März und April 2020 eine Auswertung von peripheren Blutausstrichen der zu dieser Zeit verfügbaren Patientinnen und Patienten. Dabei ließen sich keine COVID-19-spezifischen Veränderungen im peripheren Blut nachweisen, sondern ein gemischtes morphologisches Bild, aus den Zeichen von Virusinfektion, sekundären Infektionen und Inflammation mit Zytokinsturm und deren Folgen.
Schlüsselwörter: COVID-19, Blutausstrich, reaktive Lymphozyten, Inflammation
Abstract
Since the end of 2019 infections with COVID-19 became a constant companion. At the start of the first wave, morphological anomalies in peripheral blood smear have been described. In March and April 2020 peripheral blood smears from COVID-19 patients were evaluated at the University Hospital Regensburg. No COVID-19 specific changes were identified, but a mixed morphological picture composed of signs of viral infection, secondary infections and inflammation with cytokine storm and their consequences.
Keywords: COVID-19, blood smear, reactive lymphocytes, inflammation
DOI: 10.53180/MTADIALOG.2022.0716
Entnommen aus MTA Dialog 9/2022
Dann nutzen Sie jetzt unser Probe-Abonnement mit 3 Ausgaben zum Kennenlernpreis von € 19,90.
Jetzt Abonnent werden