Radiologinnen und Radiologen leisten mit ihren bildgebenden Methoden und minimalinvasiven Verfahren einen wichtigen Beitrag in der Diagnostik, Therapie und Verlaufskontrolle von nahezu allen bekannten Krankheitsbildern. Dies gilt auch im Rahmen der aktuellen SARS-CoV-2-Pandemie für die Diagnose und Verlaufskontrolle bei Patientinnen und Patienten mit COVID-19. Zu den bildgebenden Verfahren, die hier unterstützen können, zählt neben dem Röntgen-Thorax insbesondere die Computertomografie (CT), allerdings nur unter bestimmten Voraussetzungen und in dem Wissen um die Möglichkeiten und Grenzen dieser Methode.
Nicht ohne rechtfertigende Indikation
Der Schutz der Gesundheit von Patienten und Personal ist von elementarer Bedeutung. Da bei CT und Röntgen ionisierende Strahlung zur Anwendung kommt, ist für deren Einsatz stets eine rechtfertigende Indikation durch einen Radiologen mit der hierfür erforderlichen Fachkunde im Strahlenschutz Voraussetzung. Anders gesagt: Der gesundheitliche Nutzen für den Patienten muss gegenüber dem Strahlenrisiko überwiegen.
Für COVID-19 bedeutet das:
- Nur bei Verdacht auf eine COVID-19-Infektion aufgrund einer ausgeprägten respiratorischen Symptomatik (zum Beispiel Atemnot), die eine Hospitalisierung erfordert sowie einer negativen RT-PCR kann die Thorax-CT die Diagnose frühzeitig stützen. Prof. Dr. Jens Vogel-Claussen, Vorsitzender der AG Thoraxdiagnostik der Deutschen Röntgengesellschaft (DRG): „Für den Einsatz der CT hat sich die rechtfertigende Indikation nicht allein nach dem Schweregrad der Erkrankung, sondern auch nach der klinischen Relevanz für das weitere Versorgungsmanagement des einzelnen Patienten zu richten.“
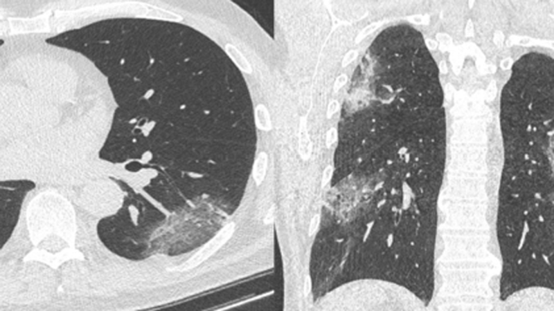
- CT-Untersuchungen bei Verdacht auf COVID-19 sollten als native Dünnschicht-CT mit einem Niedrigdosisprotokoll erfolgen, sofern nicht weitere Differenzialdiagnosen eine Kontrastmittelgabe indizieren. Der radiologische Befund sollte hierbei standardisiert kategorisiert und strukturiert werden. Die AG Thoraxdiagnostik der DRG hat hierzu entsprechende Orientierungshilfen bereitgestellt.
RT-PCR ist der diagnostische Goldstandard
CT-Befunde können Veränderungen beschreiben, die nicht spezifisch sind für die Diagnose von COVID-19, sondern auch bei anderen Viruspneumonien vorkommen. Die CT kann deshalb im interdisziplinären Zusammenhang zur Beurteilung der individuellen Prognose von Patienten beitragen, sollte aber weder als Screening-Test noch zur Triage bei Patienten mit nicht schweren oder keinen Symptomen durchgeführt werden. Die wichtigste Aufgabe der CT im Rahmen der COVID-19-Pandemie ist vielmehr die Diagnose von Pneumonie-assoziierten Komplikationen sowie die Bewertung des initialen Krankheitsausmaßes und die Verlaufsbeurteilung. Sie unterstützt damit die klinische Einschätzung von besonders schweren Erkrankungsfällen.
Eine negative CT-Diagnostik schließt COVID-19 nicht aus. Auf der anderen Seite kann eine CT bei negativer initialer PCR die Verdachtsdiagnose stellen, welche dann durch serielle PCR-Tests bestätigt werden muss. Prof. Dr. Gerald Antoch, DRG-Präsident: „Bei einem klinisch symptomatischen Patienten, initial negativer PCR und klinischer Konsequenz kann die CT die Diagnose COVID-19 stellen. Wichtig ist nachfolgend die Bestätigung des CT-Befundes durch sequenzielle RT-PCRs.“ Der primäre Test für die Diagnose von SARS-CoV-2 ist und bleibt daher die RT-PCR.
Quelle: DRG, 08.04.2020
Artikel teilen




