Zusammenfassung
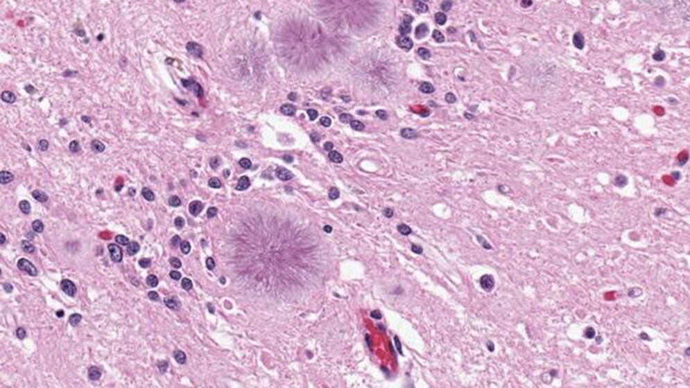
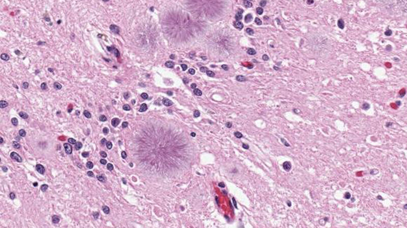
Die Creutzfeldt-Jakob-Krankheit ist eine tödlich verlaufende durch atypische Eiweiße (Prionen) gekennzeichnete übertragbare spongiforme Encephalopathie (TSE). Die Erkrankung beginnt zunächst schleichend, jedoch verliert ein Betroffener nach Auftreten der ersten Symptome unaufhaltsam und zügig seine geistigen und motorischen Fähigkeiten. In der Regel führt die Erkrankung innerhalb weniger Monate zum Tode.
Entnommen aus MTA Dialog 08/2015
Dann nutzen Sie jetzt unser Probe-Abonnement mit 3 Ausgaben zum Kennenlernpreis von € 19,90.
Jetzt Abonnent werden
