Premium
Sonstiges
CT-gestützte Punktionen
Ableitung von Flüssigkeiten und Gewinnung von Gewebeproben
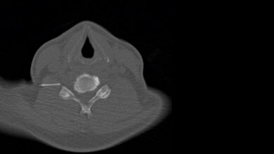
Einleitung: Für die CT-gestützte Intervention gibt es eine Reihe verschiedener Indikationen. Diese umfassen exemplarisch die Biopsie von sonografisch schwer erreichbaren Körperregionen für histopathologische Begutachtungen und die Drainage von Flüssigkeitskollektionen.
Insbesondere im Hinblick auf die Drainage entzündlicher Flüssigkeitskollektionen kann eine minimalinvasive, CT-gestützte Intervention häufig einen operativen Eingriff ersetzen. Dieser Artikel soll die ärztlichen und assistierenden Tätigkeiten zeigen und einen Überblick über die CT-gestützte Biopsie und Drainage geben.
Entnommen aus MTA Dialog 3/2021
Sie möchten die Zeitschrift abonnieren und auf alle Inhalte zugreifen?
Dann nutzen Sie jetzt unser Probe-Abonnement mit 3 Ausgaben zum Kennenlernpreis von € 19,90.
Jetzt Abonnent werden

