Zusammenfassung
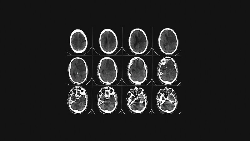
Die dritthäufigste Todesursache in Deutschland ist der Schlaganfall. Jedes Jahr sind Tausende Menschen davon betroffen. Zeit spielt bei diesem Thema die wichtigste Rolle überhaupt, denn es geht um nichts Geringeres als um das Gehirn des Menschen, dem Ursprungsort des Denkens, des Fühlens, der Persönlichkeit jedes Einzelnen. Symptome treten häufig unspezifisch auf, werden nicht rechtzeitig erkannt und mitunter unterschätzt. Hängende Mundwinkel, Wortfindungsstörungen, die Zeitung nicht richtig lesen können, sich komisch fühlen, plötzliche Kopfschmerzen oder für einen Moment nicht wissen, wo man sich befindet. Schon Minuten bis wenige Stunden nach Auftreten der ersten Symptome können bleibende Schäden zurückbleiben oder gar der Tod eintreten. Auf dem schnellsten Weg muss der Patient in eines der zertifizierten Krankenhäuser gebracht werden, um keine Zeit zu verlieren. Die Radiologische Diagnostik spielt eine immense Rolle. Deutschland ist mit etwa 350 zertifizierten Stroke Units flächendeckend gut aufgestellt, dennoch muss ständig an einer Verbesserung gearbeitet werden. Die Computertomografie ist bei den bildgebenden Verfahren noch die Untersuchungsmethode der ersten Wahl, da sie schnell verfügbar und von den meisten technischen Mitarbeitern bedient werden kann. Das MRT bietet hier zwar Vorteile in Bezug auf die Sensitivität, jedoch bilden die Liegezeiten, der Zustand des Patienten und die Erfahrung in der Auswertung und Bedienung, vor allem im Bereitschaftsdienst auf technischer und ärztlicher Ebene, große Hürden.
Schlüsselwörter: Zeitfenster, Schlaganfall, Linsenschutz, Computertomografie, MRT, Organ-Dosis-Modulation
Abstract
The third most common cause of death in Germany is stroke. Every year, thousands of people are affected. The time is very important because it is about nothing less than the human brain that is in danger, the place of origin of thought, feeling and personality. Symptoms often appear unspecified, are not recognized in time and are sometimes underestimated for example facial droop, word finding disorders, not being able to read the newspaper properly, feeling strange, sudden headaches or not knowing where you are for a moment. Minutes to a few hours after the onset of the first symptoms, permanent damage may remain or even death may occur. It is very important to take the patient to one of the certified hospitals in order not to lose any time. Radiological diagnostics plays an immense role. Germany is well positioned with about 350 certified stroke units throughout the country, but an improvement still has to be made all the time. Computer tomography is currently the examination method of choice for imaging procedures because it is quickly available and can be operated by most technical staff. Although MRI offers advantages in terms of sensitivity, the length of stay, the patient‘s condition and experience in evaluation and operation, particularly on-call service at the technical and medical level, pose major hurdles.
Keywords: window of time, stroke, lens protection, computer tomography, MRI, organ dose modulation
DOI:10.3238/MTADIALOG.2019.0768
Entnommen aus MTA Dialog 9/2019
Dann nutzen Sie jetzt unser Probe-Abonnement mit 3 Ausgaben zum Kennenlernpreis von € 19,90.
Jetzt Abonnent werden
