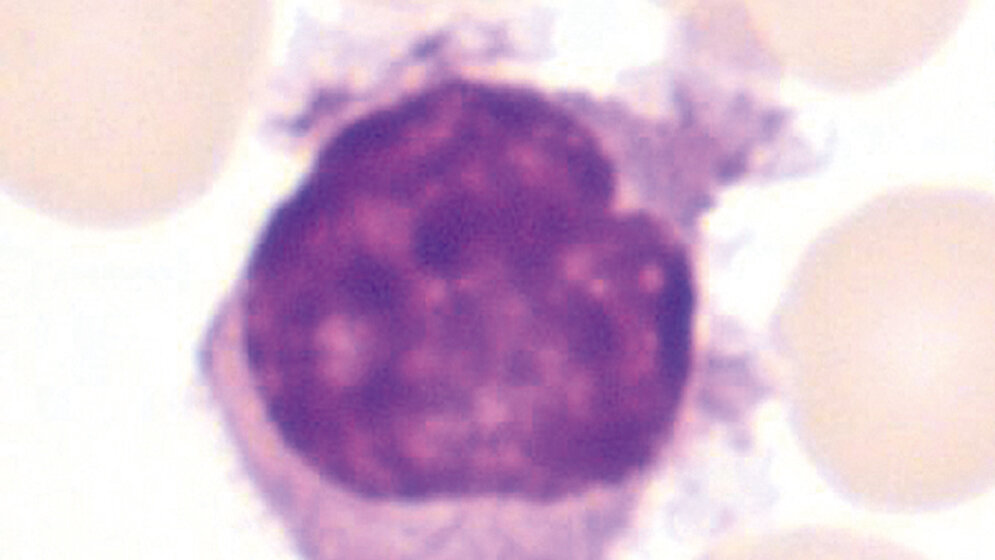
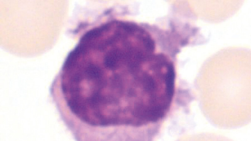
Atypische Lymphozyten mit fransigen oder haarförmigen Zytoplasma-Ausziehungen sind ein häufiges, oft unspezifisches Phänomen. In seltenen Fällen können sie jedoch Ausdruck einer Haarzell-Leukämie (HZL) und somit diagnostisch wegweisend sein.
Die Haarzell-Leukämie ist eine seltene chronisch verlaufende lymphatische Neoplasie der reifen B-Lymphozyten, die morphologisch mit atypischen Lymphozyten mit haarförmigen Zytoplasmaausziehungen einhergeht. Sie macht circa 2 % der lymphatischen Neoplasien aus.
DOI:10.3238/MTADIALOG.2016.0538
Sie möchten die Zeitschrift abonnieren und auf alle Inhalte zugreifen?
Dann nutzen Sie jetzt unser Probe-Abonnement mit 3 Ausgaben zum Kennenlernpreis von € 19,90.
Jetzt Abonnent werden
