Definition
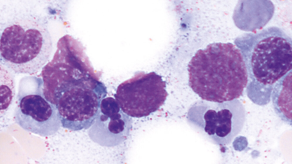
Unter dysplastischen Veränderungen oder Dysplasiezeichen der Hämatopoese versteht man morphologische Abweichungen der Zellen von der Standardform im Sinne einer Missbildung [1]. Diese kann die Erythro-, Granulo- und Megakaryopoese betreffen. Dysplasiezeichen sind vielgestaltig. In der Erythropoese kommen zum Beispiel oft Kernveränderungen wie Kernknospungen vor (Abbildung 1). Die granulozytären Zellen weisen nicht selten Kernsegmentierungsstörungen wie zum Beispiel Pseudo-Pelger-Formen auf (Abbildung 1). In der Megakaryopoese äußert sich Dysplasie oftmals in Form abnormer Kernlobulierungen (Abbildung 2). Dysplastische Veränderungen der Hämatopoese erlangen erst dann eine diagnostische Wertigkeit, wenn der Anteil dysplastischer Zellen ≥10 % je Zellreihe im Knochenmark ausmacht. Je nach Befund spricht man von Dyserythro-, Dysgranulo- und/oder Dysmegakaryopoese.
Mögliche Ursachen
Das Vorhandensein von Dysplasiezeichen ≥10 % im Knochenmark ist ein abklärungsbedürftiger Befund [1]. Oftmals liegen chronische Erkrankungen, toxische oder medikamentöse Einflüsse zugrunde, und die Dysplasie ist potenziell reversibel. In selteneren Fällen kann jedoch eine maligne Erkrankung im Sinne eines MDS für die Dysplasie verantwortlich sein. Bei MDS handelt es sich um eine Gruppe klonaler hämatopoetischer Stammzellerkrankungen, deren charakteristisches Merkmal die Dysplasie der Blut- und Knochenmarkzellen ist [2]. Die MDS-Typen unterscheiden sich hinsichtlich der Anzahl der betroffenen Zelllinien und können je nach Stadium mit erhöhten Blastenzahlen einhergehen. Ebenfalls mit auffälliger Dysplasie vergesellschaftet sind die MDS/MPN-Overlap-Syndrome [2]. Erkrankungen dieser Gruppe zeigen gleichzeitig dysplastische sowie auch myeloproliferative Veränderungen [3]. Häufigstes Beispiel ist die chronisch myelomonozytäre Leukämie (CMML). Neben den MDS-Erkrankungen, die erworben sind, treten sehr selten angeborene Gendefekte auf, die mit einer Myelodysplasie einhergehen. Diese treten bereits im Kindes- oder Jugendalter auf. Hierzu gehören unter anderem die kongenitalen dyserythropoetischen Anämien (CDA) und die GATA2-Defizienz.
DOI: 10.3238/MTADIALOG.2020.0762
Entnommen aus MTA Dialog 10/2020
Dann nutzen Sie jetzt unser Probe-Abonnement mit 3 Ausgaben zum Kennenlernpreis von € 19,90.
Jetzt Abonnent werden
