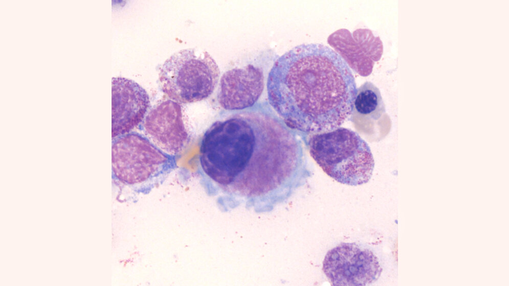
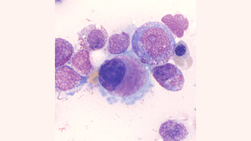
Dysthrombopoese
Einige Dysplasiemerkmale sind dabei von hoher diagnostischer Aussagekraft und weisen bei signifikantem Befund stark auf das Krankheitsbild eines myelodysplastischen Syndroms (MDS) hin. Zur Beurteilung der Dysthrombopoese werden hauptsächlich die Megakaryozyten (MK) im Knochenmark herangezogen. Da die Megakaryopoese hinsichtlich ihrer Morphologie eine variable Zellgruppe darstellt und Fehlinterpretationen vermieden werden müssen, sind standardisierte Vorgaben für die morphologische Beurteilung der Megakaryozyten und Einstufung der Veränderungen als physiologisch oder dysplastisch erforderlich.
Die Vorgaben der WHO-Klassifikation 2016 [8] und Evaluationskriterien der International Working Group on Morphology of Myelodysplastic syndroms (IWGM-MDS) [4] bilden hierfür die Grundlage. Aus diesen ergibt sich, dass die signifikanten Dysplasiekategorien der Megakaryopoese weniger zahlreich sind als in der Erythropoese, dafür sind sie aber von hoher Aussagekraft. In den genannten Quellen wird berücksichtigt, dass das normale Knochenmark sowie auch Vortherapien, Substratmangel oder nicht maligne Erkrankungen durchaus Auffälligkeiten der Megakaryopoese aufweisen können, hierbei jedoch meist nicht die Quantität und Spezifität wie beim MDS erreicht. In diesem Beitrag werden unter Berücksichtigung der Vorgaben der WHO-Klassifikation 2016 [8] und der IWGM-MDS [4] die relevanten Dysplasien der Megakaryopoese sowohl bildlich als auch in erklärender Textform dargestellt.
DOI: 10.3238/MTADIALOG.2021.0602
Entnommen aus MTA Dialog 8/2021
Dann nutzen Sie jetzt unser Probe-Abonnement mit 3 Ausgaben zum Kennenlernpreis von € 19,90.
Jetzt Abonnent werden
