Zusammenfassung
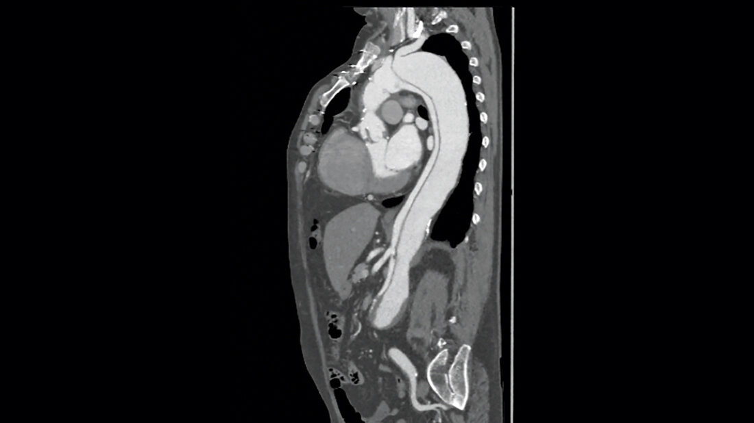
Die Falldarstellung zeigt den Erkrankungsverlauf eines 49-jährigen Patienten mit Typ-B-Aortendissektion. Relevante Vorerkrankungen und Risikofaktoren sind eine arterielle Hypertonie sowie eine Übergewichtigkeit und ein Nikotinabusus.
Schlüsselwörter: Aortendissektion, Typ-B-Aortendissektion, CT, Aortenstentprothese
Abstract
The case report shows the course of the disease in a 49-year-old patient with type B aortic dissection. Relevant previous illnesses and risk factors are arterial hypertension, obesity and nicotine abuse.
Keywords: aortic dissection, type B aortic dissection, CT, aortic stent prosthesis
Entnommen aus MT im Dialog 2/2025
Dann nutzen Sie jetzt unser Probe-Abonnement mit 3 Ausgaben zum Kennenlernpreis von € 19,90.
Jetzt Abonnent werden
