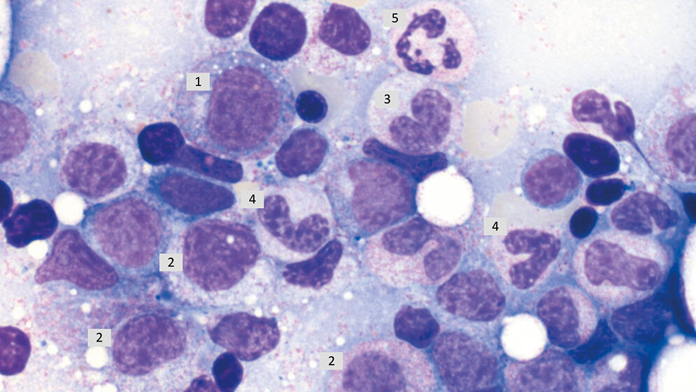
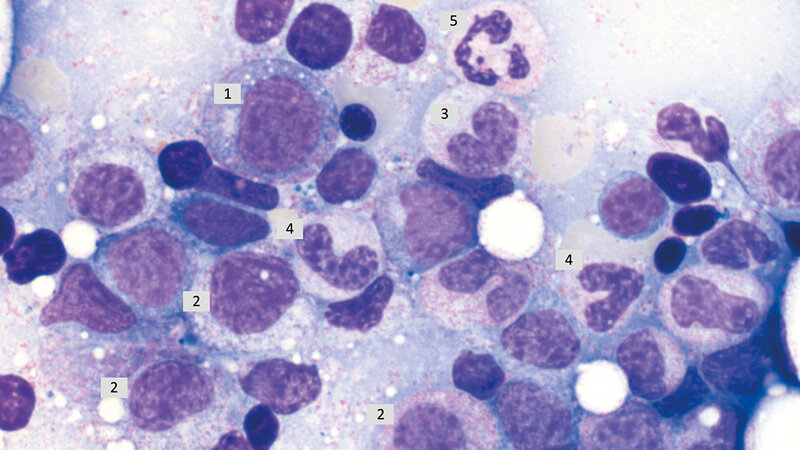
Letztere machen mit 45–70 % den größten Anteil der Blutleukozyten aus und werden unterteilt in Neutrophile, Eosinophile und Basophile. Reife Granulozyten sind ein wichtiger Bestandteil der unspezifischen zellulären Immunantwort. Nach der Reifung im Knochenmark gelangen sie in die Blutbahn, wo sie für eine begrenzte Zeit zirkulieren. Im Falle einer lokalen Infektion können Granulozyten, angelockt von Chemokinen, ins Gewebe auswandern. Funktionell sind die Zellen der neutrophilen Reihe befähigt zur aktiven Bewegung (Lokomotion), zur Phagozytose und zur Bakterizidie. Sie spielen als Mikrophagen eine wichtige Rolle für die unspezifische Abwehr. Sie geben besonders den Schleimhäuten Schutz gegenüber Bakterien und Pilzen.
DOI: 10.3238/MTADIALOG.2018.0102
Entnommen aus MTA Dialog 2/2018
Dann nutzen Sie jetzt unser Probe-Abonnement mit 3 Ausgaben zum Kennenlernpreis von € 19,90.
Jetzt Abonnent werden
