Zytoplasmafarbe blass-basophil. Typisch sind mehrere über das Zytoplasma verteilte azurophile Granula, die in Zahl und Größe stark variieren. Letztere enthalten die zytotoxischen Enzyme Perforin und Granzyme B.
Subtypen der LGL-Zellen
LGL-Zellen lassen sich in drei Subpopulationen unterteilen:
1. Natürliche Killerzellen (NK-Zellen)
2. Zytotoxische T-Lymphozyten
3. NK-ähnliche T-Lymphozyten (NK-T-Zellen)
Mit der Pappenheim-Färbung ist nur eine Quantifizierung der LGL-Zellen, nicht aber eine Typenzuordnung möglich, da eindeutige zytologische Unterscheidungsmerkmale fehlen. Zur weitergehenden Klassifizierung ist eine Immunphänotypisierung erforderlich. Folgende Marker sind zur Subtypisierung geeignet:
CD3 als Pan-T-Zellmarker ist wesentlich für Differenzierung.
T-LGL-Zellen und NK-T-Zellen exprimieren den Marker, NK-Zellen nicht. (Abb. 2 Durchflusszytometrie-Dotplot). Die positiven Zellen befinden sich rechts der senkrechten Diskriminatorlinie. Sie sind grün und braun angefärbt.
NK-T-Zellen sind zudem positiv für den NK-Marker CD56.
T-LGL-Zellen zeigen kein CD56, jedoch CD57 und zusätzlich CD8.
NK-Zellen sind negativ für CD3, aber positiv für CD56 und CD16 (blaue Zellen links der Trennlinie).

Abb. 2: Immunphänotypisierung, Blut. Reaktive LGL-Vermehrung mit Vorkommen aller drei LGL-Typen.
Funktion
Gemeinsam ist den drei LGL-Zelltypen die Fähigkeit zur Freisetzung von Perforin und Granzyme B durch Ausschüttung der Granula nach Antigenkontakt. Nach einem Andocken an die Zielzellen wirkt das Perforin der NK-Zelle, das aufgrund seiner zyto- toxischen Eigenschaften ein Loch in die Membran der attackierten Zelle bohrt. Nachfolgend gelangt Granzyme B über den Membrandefekt intrazellulär und leitet den programmierten Zelltod (Apoptose) ein.
Funktionelle Unterschiede der LGL-Subtypen bestehen in der spezifischen oder unspezifischen Immunantwort. Während NK-Zellen direkt und unvermittelt ein fremd erkanntes Antigen angreifen und zerstören können, brauchen die CD8+ zytotoxischen T-Zellen zur Antigenerkennung deren immunologische Aufbereitung durch antigenpräsentierende Zellen (Makrophagen, B-Lymphozyten, dentritische Zellen). Daraufhin stimulieren sie mit Hilfe von Zytokinen B-Lymphozyten, die ihrerseits vorübergehend zu blastären Zellen transformieren, nachfolgend immunologisch geprägt sind, sich zu Plasmazellen differenzieren und Immunglobuline mit Antikörpereigenschaften bilden.
LGL-Zellen im Blutausstrich
Im Blut von gesunden Erwachsenen machen LGL-Zellen bis zu 10 % der Leukozyten aus und entsprechen meist NK-Zellen der oben angegebenen Definition. Sind LGL-Zellen im Blut vermehrt (>10 % der Leukozyten) kann dies reaktive Ursachen haben wie bei einer Virusinfektion oder nach einer allogenen Stammzelltransplantation, aber auch in seltenen Fällen Ausdruck einer LGL-Leukämie sein. Häufig besteht wegen der zelltoxischen Aktivität eine Neutropenie. Eine Unterscheidung reaktiv versus maligne ist an der Einzelzelle zytologisch meist nicht möglich, da sich in der Pappenheimfärbung reaktive LGL-Zellen nicht von malignen Formen unterscheiden. Argumente für eine reaktive LGL-Vermehrung sind z.B. ein buntes Lymphozytenbild oder klinische/laborchemische Daten wie Infektionsparameter. Bei einer LGL-Leukämie können ein monomorphes Zellbild und zusätzliche Zytopenien wegweisend sein. In der gegenwärtig gültigen Richtlinie zur Lymphozytendifferenzierung wird die nachstehende Vorgehensweise empfohlen:
LGL-Zellen als typische oder atypische Lymphozyten
Im Blutausstrich werden LGL-Zellen zunächst als typische Lymphozyten gezählt. Überschreiten die LGL-Zellen die 10 %-Grenze aller Leukozyten, werden dieselben Zellen als atypisch eingestuft, unabhängig von ihrer Morphologie und ihrer biologischen Dignität. Besteht ein Hinweis für eine reaktive Ursache, sollen die LGL-Zellen als „atypische Lymphozyten, vermutlich reaktiv“ gezählt werden. Ist eine LGL-Leukämie zu vermuten, soll die Kategorie „atypische Lymphozyten, vermutlich neoplastisch“ gewählt werden. Bei fraglicher Ursache können sie auch behelfsmäßig bis zur weiteren Abklärung als „Diverse“ eingestuft werden mit dem Zusatz: „LGL-Vermehrung unklarer Dignität“. Eine Verlaufskontrolle und eine Immunphänotypisierung sind bei einer unklaren LGL-Vermehrung unverzichtbar.

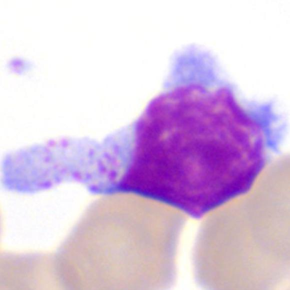
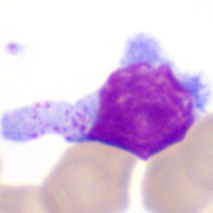
Abb. 3: BB, Papp, „Pinocchio-Zelle“ unter IL-2- Therapie.
LGL-Vermehrung, reaktiv. Ursachen
- Virusinfektionen wie CMV, EBV, HIV u.a.
- Zustand nach Stammzelltransplantation
- Medikamentöse Ursachen wie z.B. Interleukin 2-Therapie. Interleukin 2 induziert die Bildung von CD8+T-LGL-Zellen, die häufig eine nasenartige Zytoplasmaausstülpung aufweisen, weshalb sie „Pinocchio Zellen (2)“ genannt werden (Abb. 3).
LGL-Vermehrung, maligne. LGL-Leukämie
LGL-Leukämien sind selten. Analog der physiologischen Zellvertreter unterscheidet man zwei Subtypen:
- T-LGL-Leukämien
- NK-Leukämien
Meist finden sich >2 G/l LGL im peripheren Blut. T-LGL-Leukämien treten gehäuft auf bei Autoimmunerkrankungen, z.B. bei chronischer rheumatoider Arthritis. Meist finden sich langsame, chronische Verläufe, die mit Neutropenie, Splenomegalie und LGL-Vermehrung im Blut sowie Knochenmarkbefall einhergehen. Chromosomale Veränderungen sind häufig. Die Notwendigkeit einer Therapie ergibt sich meist aus voranschreitender Neutropenie mit den Folgen erhöhter Infektanfälligkeit.
Die NK-Zell-Leukämie ist sehr selten und zeigt meist ebenfalls langsame chronische Verläufe, kann jedoch in eine aggressive Form übergehen.
Literatur
1. Baurmann H et al. Lymphozytenmorphologie im Blutausstrich – Vorstellung einer überarbeiteten Nomenklatur und Systematik J Lab Med 2011;35(5):261–270 © 2011 by Walter de Gruyter • Berlin • Boston. DOI 10.1515/JLM.2011.037
2. www.hemato-images.eu/content/e3774/e3776/e3845/e9585/index_ger.html, Onkodin Bildatlas
3. SH Swerdlow et al. (ed.) WHO classification of tumours of haematopoietic and lymphoid tissues 4th edition, IARC, Lyon 2008
Der Autor:
Prof. Dr. med. Roland Fuchs
Uniklinik Aachen
Klinik für Hämatologie, Onkologie, Hämostaseologie und Stammzelltransplantation
Die Autorin:
Reinhild Herwartz
Biomedizinische Fachanalytikerin Hämatologie
Uniklinik Aachen, Klinik für Hämatologie, Onkologie, Hämostaseologie und Stammzelltransplantation
E-Mail: reinhild@herwartz.de
Entnommen aus MTA Dialog 4/2016
Dann nutzen Sie jetzt unser Probe-Abonnement mit 3 Ausgaben zum Kennenlernpreis von € 19,90.
Jetzt Abonnent werden
