Zusammenfassung
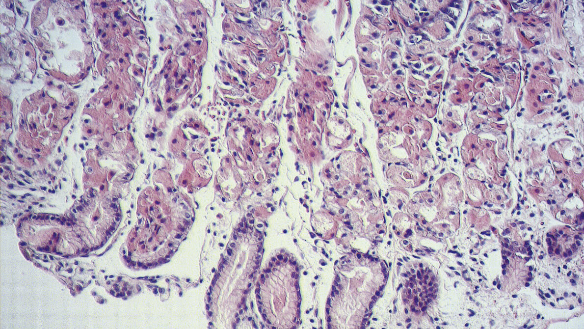
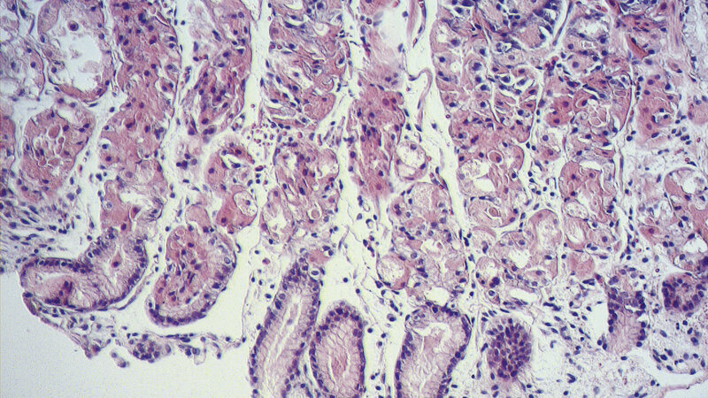
Der Magen ist ein Transport- und wichtiges Verdauungsorgan. Krankheiten können durch ein Missverhältnis zwischen aggres-siven und schützenden Faktoren im Magen entstehen. Dies geschieht, wenn die mechanische und sekretorische Leistung gestört ist. Die häufigste Erkrankung des Magens ist die Gastritis, die zwischen 60–70 % durch eine Besiedelung von Helicobacter pylori ausgelöst wird. Bei chronischen Gastritiden kann es zu so starken Zellveränderungen kommen, dass daraus maligne Erkrankungen des Magens entstehen können. Um diese Erkrankungen differenzialdiagnostisch unterscheiden zu können, kommt die Immunhistochemie zum Einsatz.
DOI: 10.3238/MTADIALOG.2017.0210
Entnommen aus MTA Dialog 3/2017
Dann nutzen Sie jetzt unser Probe-Abonnement mit 3 Ausgaben zum Kennenlernpreis von € 19,90.
Jetzt Abonnent werden
