Zusammenfassung
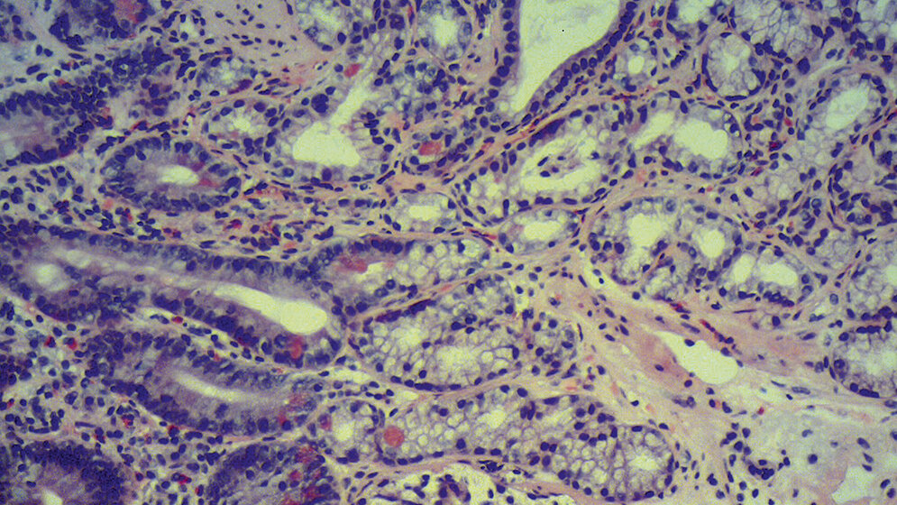
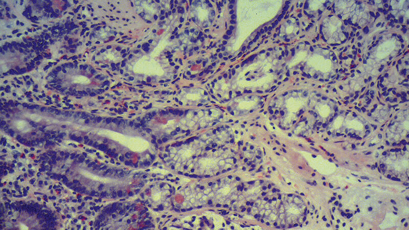
Der Darm ist das größte innere Organ und hat eine entscheidende Aufgabe und Bedeutung für die Gesundheit des Menschen. Es gibt eine Reihe von Erkrankungen, die im Darm entstehen können. Das kolorektale Karzinom ist eine der häufigsten Tumorerkrankungen im Darm. Bis zu 20 % der kolorektalen Adenokarzinome haben eine Mikrosatelliteninstabilität, die mittels der Immunhistochemie bestimmt werden kann und therapeutisch sowie diagnostisch von Bedeutung ist. Bei der Differenzialdiagnose von malignen und benignen Darmerkrankungen spielen die Histopathologie und die Immunhistochemie eine große Rolle.
DOI: 10.3238/MTADIALOG.2017.0766
Entnommen aus MTA Dialog 9/2017
Dann nutzen Sie jetzt unser Probe-Abonnement mit 3 Ausgaben zum Kennenlernpreis von € 19,90.
Jetzt Abonnent werden
