Epidemiologie
Schlaganfälle sind deutschland- und weltweit die zweithäufigste Todesursache. Jährlich ereignen sich in Deutschland etwa 270.000 Schlaganfälle. Etwa 25 %–33 % der Patienten versterben innerhalb des ersten Jahres an den Schlaganfallfolgen, weitere 40 % sind nach einem Schlaganfall dauerhaft behindert und auf fremde Hilfe angewiesen. Ursache für einen Schlaganfall ist in etwa 80 % der Fälle eine Minderdurchblutung mit einem ischämischen Schlaganfall, in etwa 20 % der Fälle liegt ein hämorrhagischer Schlaganfall vor. Verschlüsse der proximalen A. cerebri media (ACM) oder auch der A. carotis interna (ACI) führen zu besonders schwerwiegenden Infarkten. Der Schweregrad wird nach der National Institutes of Health Stroke Scale (NIHSS) beurteilt. Je höher die Punktzahl, maximal 42, desto schwerwiegender ist die neurologische Symptomatik.

Time is brain!
Für die erfolgreiche Behandlung ist ein schnelles Erkennen der Symptomatik mit umgehender Diagnostik erforderlich. Nach Ausschluss einer Blutung sollte noch im CT-Raum – sofern keine Kontraindikationen bestehen – eine intravenöse Lysetherapie eingeleitet werden. Da die intravenöse Lysetherapie bei Gefäßverschlüssen der ACI und der ACM aufgrund der Menge und gegebenenfalls auch Beschaffenheit des thrombotischen Materials keine guten Resultate erzielt, wurde eine interventionelle Rekanalisation erprobt und seit dem Jahr 2015 mit zahlreichen Studienergebnissen untermauert. Seither erweitert sich die Indikationsstellung für die Thrombektomie fortwährend, auch eine Behandlung in einem Zeitfenster bis 24 h nach dem Ereignis kann noch einen Benefit für die Patienten bedeuten. Der klinische Erfolg der Schlaganfallbehandlung wird mit der modifizierten Rankin-Skala bewertet. Die Skala beschreibt dabei das Ausmaß der Behinderung und Einschränkung im Alltagsleben und reicht von vollständiger Gesundheit (mRS 0) bis zum Tod (mRS 6).

Tab.: Die angiografische Beurteilung der Reperfusion erfolgt nach der modifizierten TICI-Skala (thrombolysis in cerebral infarction).
Thrombektomie
Der Eingriff erfolgt derzeit in der Regel in Intubationsnarkose, zunehmend auch in Analgosedierung in Intubationsbereitschaft, sollte sich der Patient klinisch verschlechtern. Auch hier gilt: Time is brain! Alle Abläufe sollten auf unnötige Handlungen überprüft und gestrafft werden. Für die Thrombektomie ist zunächst ein üblicher, steril gedeckter Angiografietisch erforderlich. Schleusenspülungen mit heparinisierter Kochsalzlösung (5.000 IE Heparin in 500 ml NaCl 0,9 %) müssen vorbereitet werden. Eine Kontrastmittelpumpe ist nicht unbedingt erforderlich, die Kontrastmittelgabe kann während der Intervention auch von Hand erfolgen. Der Zugang erfolgt über die rechte Leiste. Zunächst wird eine kurze 8F-Schleuse in der A. femoralis platziert. Hierüber wird eine 90 cm lange 6F-Schleuse oder ein 8F-Führungskatheter mit einem Vertebralis- oder Sidewinder-konfiguriertem Katheter und einem 0,035-inch-Führungsdraht in die ACI der betroffenen Seite vorgebracht. Jetzt erfolgt zunächst eine diagnostische Angiografie der intrakraniellen Gefäßstrombahn in 2 Ebenen. Sollte vor der Thrombektomie eine intravenöse Lysetherapie erfolgt sein, wird auf eine zusätzliche intraarterielle Heparingabe verzichtet, um das Blutungsrisiko nicht zu erhöhen. Für die Thrombektomie gibt es verschiedene Verfahren. Wichtiges Ziel aller Techniken ist neben der Wiederherstellung der Perfusion eine Vermeidung der Thrombusfragmentation mit Verschleppung in weiter distal gelegene Gefäßabschnitte oder auch neue, bisher nicht betroffene Gefäßterritorien.
Der Einsatz eines Stentretrievers ist die bisher am häufigsten eingesetzte Technik. Hierbei handelt es sich letztlich um einen modifizierten intrakraniellen Stent, der an einem 0,014-inch-Draht befestigt ist. Der Thrombus wird mit einem 0,014-inch-Mikrodraht und einem 0,021-inch-Mikrokatheter passiert. Über den Mikrokatheter wird der Stentretriever im Thrombus freigesetzt, der Blutfluss nach distal ist jetzt wiederhergestellt. Nach einer Wartezeit von 5–8 Minuten, in der sich der Thrombus in den Stentmaschen festsetzen soll, wird der Stentretriever entfaltet zurückgezogen. Damit der Stentretriever ohne Abscheren des Thrombus in der langen Schleuse geborgen werden kann, muss eine Schleuse mit abschraubbarem Ventil verwendet werden. Bei der Adapt-Technik (direct aspiration first-pass thrombectomy) wird ein großlumiger Aspirationskatheter direkt vor den Thrombus gebracht, bei einem Verschluss der proximalen A. cerebri media wird dazu ein 6F-Katheter verwendet. Über eine Aspirationspumpe wird dann der Thrombus in den Katheter gesaugt. Nach frühestens 90 s wird, falls der Thrombus nicht komplett aspiriert werden kann, der Aspirationskatheter unter Sog mit dem Thrombus an der Katheterspitze zurückgezogen. Bei der Solumbra-Technik, benannt nach ihrem Erstbeschreiber, wird ein Stentretriever-Manöver mit einem Aspirationskatheter, der bis an den Thrombus herangeführt wird, kombiniert. Eine Weiterentwicklung der Solumbra-Technik ist die SAVE-Technik (stent retriever assisted vacuum-locked extraction). Der Stentretriever wird zu 2/3-Dritteln distal des Thrombus freigesetzt. Hierdurch wird ebenso wie durch das Rückholen in einen Aspirationskatheter das Risiko einer distalen Embolisation verringert.
Durch die Verwendung eines Ballon-Führungskatheters, der beim Rückzug des Thrombusmaterials in der ACI geblockt wird, kann eine Flussumkehr erreicht werden. Auch diese Technik dient der Vermeidung von Embolien nach distal oder in andere Gefäßterritorien.

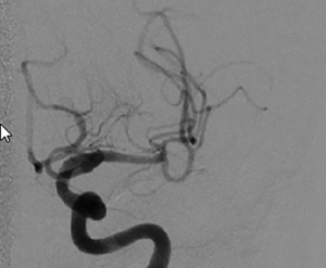
a) Verschluss der A. cerebri media links im M1-Segment | © C. Vockelmann

b) Wiedereröffnetes Gefäß nach Thrombektomie in Solumbra-Technik
Literatur
1. AWMF-Leitlinie „Akuttherapie des ischämischen Schlaganfalls, Ergänzung 2015 – Rekanalisierende Therapie“. In: Leitliniensammlung. Thieme 2020.
2. Leitlinie der Deutschen Gesellschaft für Neurologie. Akuttherapie des ischämischen Schlaganfalls.
3. Yilmaz U, Mühl-Benninghaus R, Reith, W: Mechanische Thrombektomie – Technik. Radiologe 2016; 56: 12–7.
4. Procházka V, Jonszta T, Czerny D, et al.: Comparison of Mechanical Thrombectomy with Contact Aspiration, Stent Retriever, and Combined Procedures in Patients with Large-Vessel Occlusion in Acute Ischemic Stroke. Med Sci Monit. 2018; 24: 9342–53.
5. Berkhemer OA, Fransen PSS, Beumer D et al.: A randomized trial of intra-arterial treatment for acute ischemic stroke. N Engl J Med 2015; 372: 11–20.
6. Nogueira RG et al.: Thrombectomy 6 to 24 Hours after Stroke with a Mismatch between Deficit and Infarct. N Engl J Med 2018; 378: 11–21.
Entnommen aus MTA Dialog 7/2020
Artikel teilen

