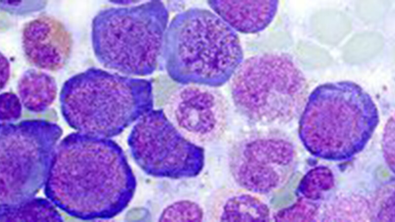
Als Megaloblasten [megas, altgriech. – groß] werden abnorm große, kernhaltige Zellen der Erythropoese bezeichnet.
Entnommen aus MTA Dialog 09/2014
Sie möchten die Zeitschrift abonnieren und auf alle Inhalte zugreifen?
Dann nutzen Sie jetzt unser Probe-Abonnement mit 3 Ausgaben zum Kennenlernpreis von € 19,90.
Jetzt Abonnent werden
