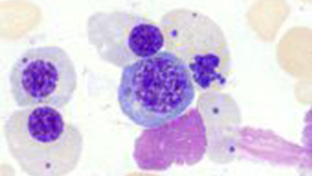
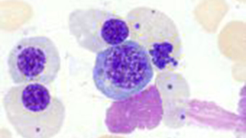
Zellen benötigen für die DNA-Synthese Vitamin B12 und Folsäure. Bei einem Mangel resultieren reifungsgestörte und verkürzt lebensfähige Zellen.
Entnommen aus MTA Dialog 10/2014
Sie möchten die Zeitschrift abonnieren und auf alle Inhalte zugreifen?
Dann nutzen Sie jetzt unser Probe-Abonnement mit 3 Ausgaben zum Kennenlernpreis von € 19,90.
Jetzt Abonnent werden
