Zusammenfassung
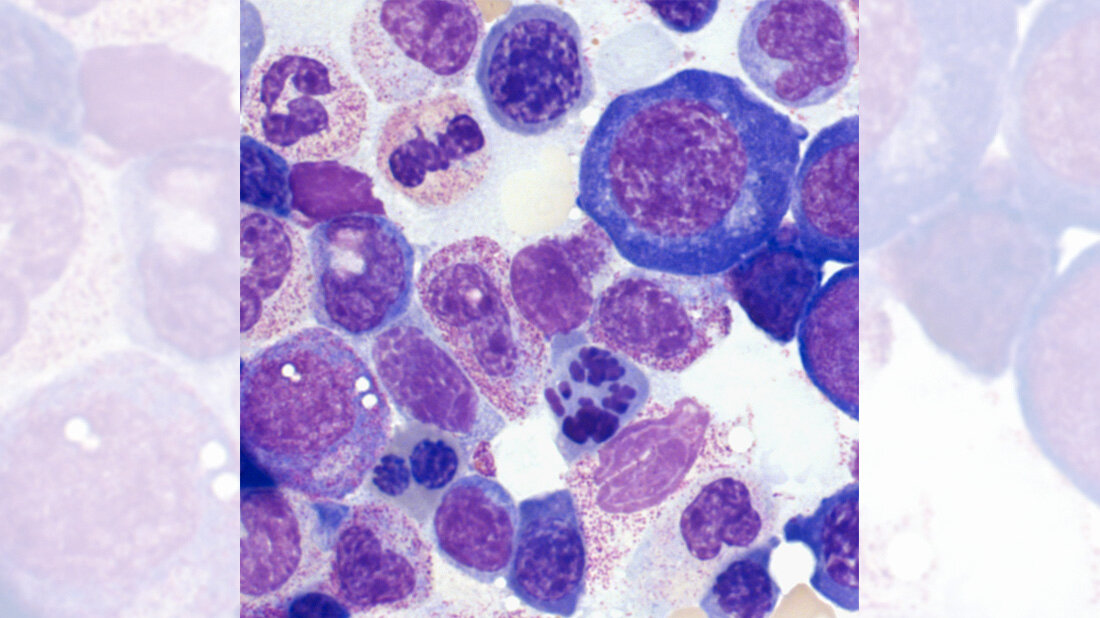
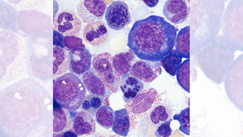
Myelodysplastische Syndrome lassen sich nach der WHO-Klassifikation 2016 in Subklassen mit und ohne Blastenvermehrung unterteilen. MDS ohne Blastenvermehrung sind anhand weiterer Kriterien, insbesondere der Zahl dysplastischer Linien und dem Nachweis von Ringsideroblasten, weiter klassifizierbar in MDS mit Ein- oder Mehrliniendysplasie mit und ohne Ringsideroblasten (MDS-SLD und -MLD, MDS-RS-SLD, MDS-RS-MLD). Bei einer spezifischen Zytogenetik, vor allem isolierter del(5q), ergibt sich eine eigene, rein zytogenetisch determinierte Subklasse.
Schlüsselwörter: Myelodysplastische Syndrome, WHO-Klassifikation 2016, MDS-SLD, MDS-MLD, Ringsideroblasten, MDS-RS-SLD, MDS-RS-MLD, MDS mit isolierter del(5q)
Abstract
According to the 2016 WHO classification myelodysplastic syndromes can be divided into subclasses with and without proliferation of blast cells. MDS without proliferation of blast cells can be fur-ther classified into MDS with one or more lineage dysplasia with and without ring sideroblasts (MDS-SLD and MLD, MDS-RS-SLD, MDS-RS-MLD) based on additional criteria, in particular the number of dysplastic lines and the detection of ring sideroblasts. In the case of a specific cytogenetics, particularly of isolated del(5q), a separate, purely cytogenetically determined subclass results.
Keywords: Myelodysplastic syndromes, WHO-classification 2016, MDS-SLD, MDS-MLD, Ring sideroblasts, MDS-RS-SLD, MDS-RS-MLD, MDS with isolated del(5q)x
DOI: 10.53180/MTADIALOG.2022.0536
Entnommen aus MTA Dialog 7/2022
Dann nutzen Sie jetzt unser Probe-Abonnement mit 3 Ausgaben zum Kennenlernpreis von € 19,90.
Jetzt Abonnent werden

