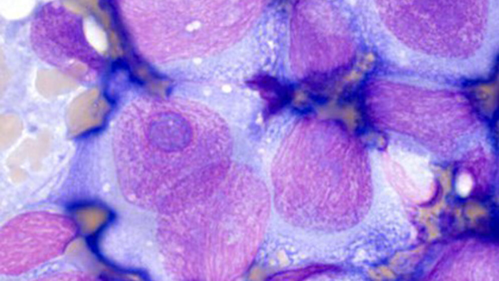
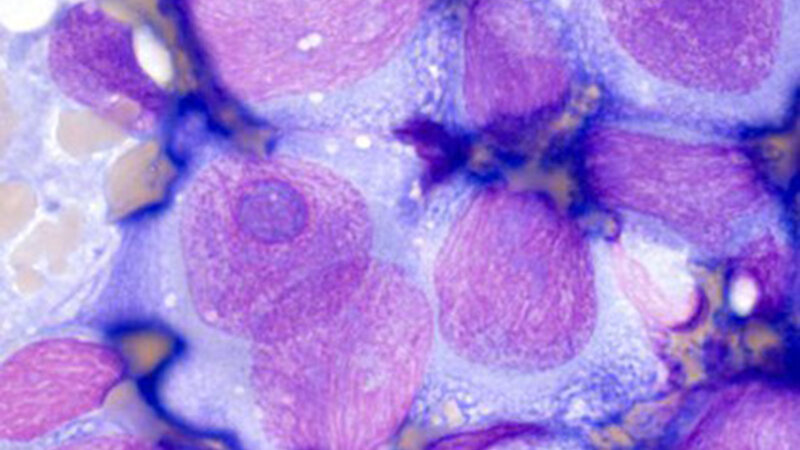
In der hämatologischen Zytologie, der Histologie sowie der Diagnostik von Ergüssen und Punktaten stellen Nukleolen ein wichtiges Merkmal der Zelldifferenzierung dar. Manche Zellen lassen sich mit Hilfe der Nukleoleneigenschaften hinsichtlich ihres Zelltyps zuordnen.
Zusammenfassung
Pathologische Zellen können Abweichungen in der Zahl, der Größe und der Form aufweisen. Die Zunahme der Größe der Nukleolen im Verhältnis zur Kerngröße sowie eine Vermehrung der Zahl pro Zelle (>5) gelten als Indikatoren für Malignität. Somit sind die Nukleolen zur Unterscheidung zwischen malignen und reaktiven Zellen geeignet.
Entnommen aus MTA Dialog 04/2014
Sie möchten die Zeitschrift abonnieren und auf alle Inhalte zugreifen?
Dann nutzen Sie jetzt unser Probe-Abonnement mit 3 Ausgaben zum Kennenlernpreis von € 19,90.
Jetzt Abonnent werden
