Optimierung und Validierung von PD-L1-Färbeprotokollen am Beispiel E1L3N (Teil 2)
Zusammenfassung
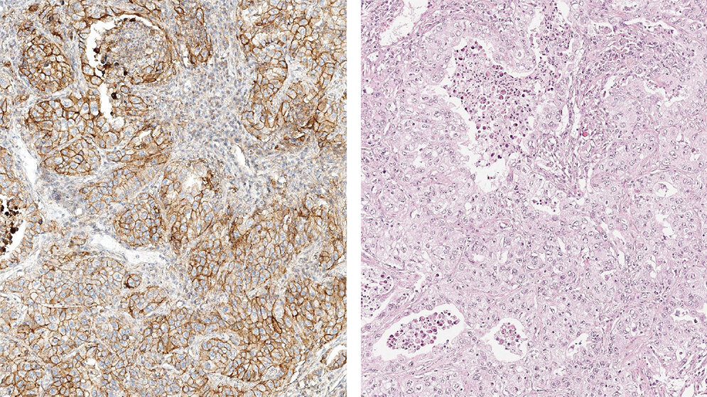
Die qualitätsgesicherte Testung von Biomarkern ist ein wichtiger Bestandteil der modernen Pathologie und eine zentrale Grundlage in der onkologischen Behandlung. Insbesondere die zuverlässige Bestimmung von prädiktiven Biomarkern gewinnt seit Jahren immer mehr an Bedeutung für Ärzte und Patienten. Mit der Zulassung von Wirkstoffen, die das Immunsystem aktivieren können, sogenannte Checkpoint-Inhibitoren, ist der PD-L1-(Programmed cell death 1 ligand-)Status als Biomarker zur Therapieauswahl in den Fokus gerückt. Die Interaktion des PD-1-(Programmed cell death protein 1-)Rezeptors mit seinem Liganden PD-L1 dient dabei unter anderem als Angriffspunkt in der Immunonkologie. Bei der Etablierung eines neuen Biomarkertests gibt es viele Chancen, aber auch einige Herausforderungen für das histologische Labor und den auswertenden Pathologen. Insbesondere die Etablierung von geeigneten IHC-Färbeprotokollen spielt dabei eine zentrale Rolle. In Ausgabe 11/2019 haben wir bereits das Färbeprotokoll zur Verwendung des PD-L1-Klons E1L3N® der Firma Cell Signaling Technology für den Dako Autostainer Link 48 beschrieben. In dieser Ausgabe folgt nun die Etablierung und Validierung von E1L3N® für den Ventana BenchMark ULTRA (Roche Diagnostics).
Schlüsselwörter: PD-L1, CD274, E1L3N, Checkpoint-Inhibitoren, personalisierte Medizin, Immunhistochemie
Abstract
The quality-assured testing of biomarkers is an important part of modern pathology and a central basis in oncological treatment. In particular, the reliable determination of predictive biomarkers has been gaining increasing importance for doctors and patients for years. With the approval of pharmaceuticals that can activate the immune system, so-called checkpoint inhibitors, the PD-L1 (Programmed cell death 1 ligand) status has become a biomarker for patient selection. The interaction of the PD-1 (Programmed cell death protein 1) receptor with its ligand PD-L1 serves as a target in immuno-oncology. There are many opportunities in establishing a new biomarker test, but there are also some challenges for the histology lab and the evaluating pathologist. In particular, the establishment of suitable IHC staining protocols plays a central role. The first article in edition 11/2019 described the staining protocol of the PD-L1 antibody clone E1L3N® (Cell Signaling Technology) for the Dako Autostainer Link 48. This article now includes the establishment and validation of E1L3N® for the Ventana BenchMark ULTRA (Roche Diagnostics).
Keywords: PD-L1, CD274, E1L3N, checkpoint inhibitors, personalized medicine, immunohistochemistry
DOI: 10.3238/MTADIALOG.2020.0184
Entnommen aus MTA Dialog 3/2020
Dann nutzen Sie jetzt unser Probe-Abonnement mit 3 Ausgaben zum Kennenlernpreis von € 19,90.
Jetzt Abonnent werden

