Ein Leberkarzinom (Hepatozelluläres Karzinom, HCC) ist ein bösartiger Tumor, der von den Zellen in der Leber ausgeht. Wird Leberkrebs in einem frühen Stadium entdeckt, liegt die Überlebenswahrscheinlichkeit fünf Jahre nach der Diagnose etwa bei 50 Prozent. Da die Erkrankung aber lange Zeit ohne Symptome verläuft, ist sie oftmals zum Zeitpunkt der Diagnose schon in einem fortgeschrittenen Stadium. Hier fällt die Prognose deutlich schlechter aus: Fünf Jahre nach der Krebsdiagnose lebt nur noch etwa eine/r von zehn Patienten/innen. Eine wichtige Stellschraube, um die Prognose von Leberkrebspatienten zu verbessern, ist daher, Risikopatienten bereits in Vorstadien der Tumorentwicklung zu identifizieren.
Frühzeitige Identifizierung von hohem Risiko
Ein Netzwerk von Klinikern, Wissenschaftlern und Datenmanagern hat sich zur Aufgabe gemacht, Methoden zu entwickeln, um Patienten mit einem hohen Risiko für ein Leberkarzinom frühzeitig, in Vorstadien der Tumorentwicklung, identifizieren zu können. Gemeinsam bilden sie das „Systemmedizinische Forschungsnetzwerk zur Früherkennung und Prävention von Leberkrebs“, LiSym-Krebs, das vom Bundesministerium für Bildung und Forschung (BMBF) in den kommenden drei Jahren mit circa 10 Mio. Euro gefördert wird.
Interdisziplinäre Zusammenarbeit
Das LiSyM-Krebs Netzwerk besteht aus den drei Forschungsverbünden C-TIP-HCC*, SMART-NAFLD** und DEEP-HCC. Wissenschaftler verschiedener Disziplinen wirken hier für das gemeinsame Ziel synergistisch zusammen: Kliniker stellen die Patientenproben bereit, die Experimentatoren generieren unter Verwendung von Spitzentechnologien Daten, und Mathematiker, Physiker und Bioinformatiker erstellen anhand der Daten mathematische Modelle, mit deren Hilfe Patienten mit einem hohen Risiko für ein Leberkarzinom frühzeitig erkannt werden sollen.
Der größte Risikofaktor für Leberkrebs ist die Leberzirrhose. Sie entwickelt sich als Spätfolge chronischer Leberschädigung. Die Leberzirrhose ist dadurch gekennzeichnet, dass sich Lebergewebe in Bindegewebe umwandelt. Sie geht mit einem zunehmenden Funktionsverlust der Leber einher. Etwa ein Drittel der Patienten mit Leberzirrhose entwickelt im Verlauf von 10 Jahren einen Leberkrebs.
Ziel ist es, Tipping points zu charakterisieren
Ziel des C-TIP-HCC Netzwerks ist es, sogenannte Tipping points zu charakterisieren, die anzeigen, dass die Leberzirrhose in Richtung Krebs fortschreitet. An dem Forschungsverbund sind sechs Kliniken, drei experimentelle Gruppen sowie vier Partner aus dem Bereich „Modellierung“ beteiligt. Das Forschungsvorhaben wird von Professor Dr. Steven Dooley, dem Leiter der Sektion Molekulare Hepatologie an der II. Medizinischen Klinik der Universitätsmedizin Mannheim (UMM), koordiniert.
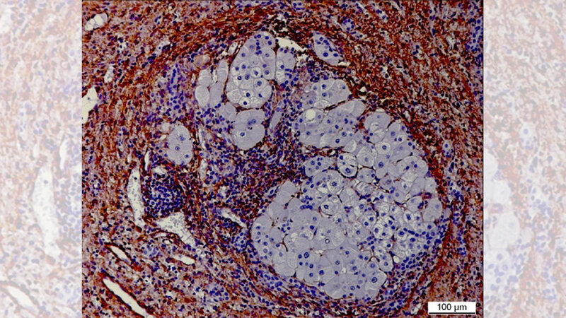
Untersuchung von zirrhotischen Knoten
Die Wissenschaftler untersuchen strukturelle Veränderungen der extrazellulären Matrix und der Zellinteraktion in sogenannten zirrhotischen Knoten, die als Kipppunkt (TIP) die Entstehung eines HCC begünstigen. Mittels sogenannter Cutting-Edge-Technologien analysieren die experimentellen Arbeitsgruppen die zirrhotischen Knoten in der Umgebung der Hepatozellulären Karzinome und vergleichen sie mit denen in den Lebern tumorfreier Zirrhotiker. Dabei untersuchen sie insbesondere die Matrixzusammensetzung und Veränderungen (fate changes) in den Makrophagen- und Fibroblasten-Zellpopulationen auf Biomarker, die den TIP der Progression zum Krebs charakterisieren.
Nachweis im Blut möglich?
Im zweiten Schritt wollen sie zusammen mit den Klinkern herausfinden, ob sich die nachgewiesenen Veränderungen im Blut widerspiegeln und für die Befundung durch routinemäßige Verlaufsmessungen im Patientenblut nutzen lassen. Mathematische Modellierer verwenden die experimentellen Daten, um ein Modell zu entwickeln, das das Krebsrisiko von Patienten mit Leberzirrhose und gegebenenfalls Ansatzpunkte für präventive Interventionen vorhersagen kann. Ziel ist es, das Progressionsrisiko so frühzeitig zu erkennen, dass die Entstehung eines Leberkarzinoms verhindert oder zumindest wesentlich verzögert werden kann.
Das Bundesministerium für Bildung und Forschung fördert das Projekt C-TIP-HCC seit dem 1. Juli 2021 mit insgesamt rund 3,5 Millionen Euro für drei Jahre. In die Arbeitsgruppe von Professor Dooley an der Medizinischen Fakultät Mannheim der Universität Heidelberg fließen dafür Fördermittel in Höhe von circa 840.000 Euro.
Kooperationspartner
Beteiligt sind die Ruhr-Universität Bochum, die Medizinische Hochschule Hannover, das Leibniz Institut für Arbeitsforschung in Dortmund, die Universität Freiburg, das Deutsche Krebsforschungszentrum Heidelberg, das Universitätsklinikum der Heinrich-Heine Universität Düsseldorf, die Universität Leipzig, das Heidelberger Institut for Computational Biomedicine, das Universitätsklinikum Saarland sowie die RWTH Aachen University.
*Mechanismus-basiertes Multiskalenmodell zur Dissektion des Tipping points von Leberzirrhose zu HCC (C-TIP-HCC)
**Systems Medicine Approach to Early Detection and Prevention of Hepatocellular Carcinoma in Non-Alcoholic Fatty Liver Disease (SMART-NAFLD)
Quelle: idw/UMM
Artikel teilen





