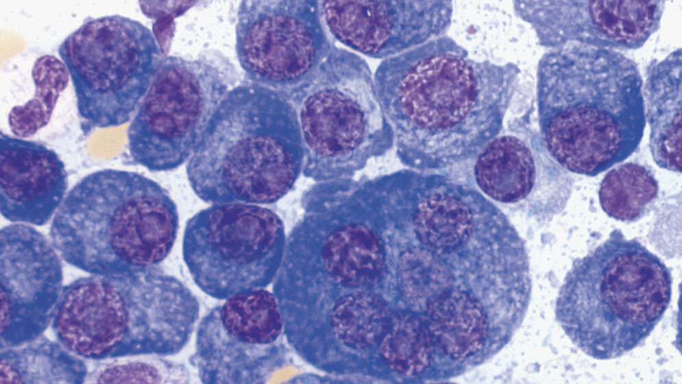
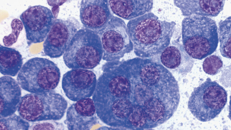
Darunter versteht man eine Gruppe maligner lymphatischer Erkrankungen, die aus Plasmazellen (PZ) hervorgehen. Die verschiedenen Subtypen unterscheiden sich unter anderem hinsichtlich ihrer diagnostischen Kriterien, prognostischen Einstufung und klinischen Ausprägung. Diagnostische Kriterien und Klassifikation der Plasmazellneoplasien sind durch die International Myeloma Working Group (IMWG) festgelegt [1]. In diesem Beitrag wird der Schwerpunkt auf das multiple Myelom (MM) als ein häufiger und wichtiger Vertreter der Plasmazellneoplasien gesetzt.
DOI: 10.3238/MTADIALOG.2017.0680
Entnommen aus MTA Dialog 8/2017
Dann nutzen Sie jetzt unser Probe-Abonnement mit 3 Ausgaben zum Kennenlernpreis von € 19,90.
Jetzt Abonnent werden
