Zusammenfassung
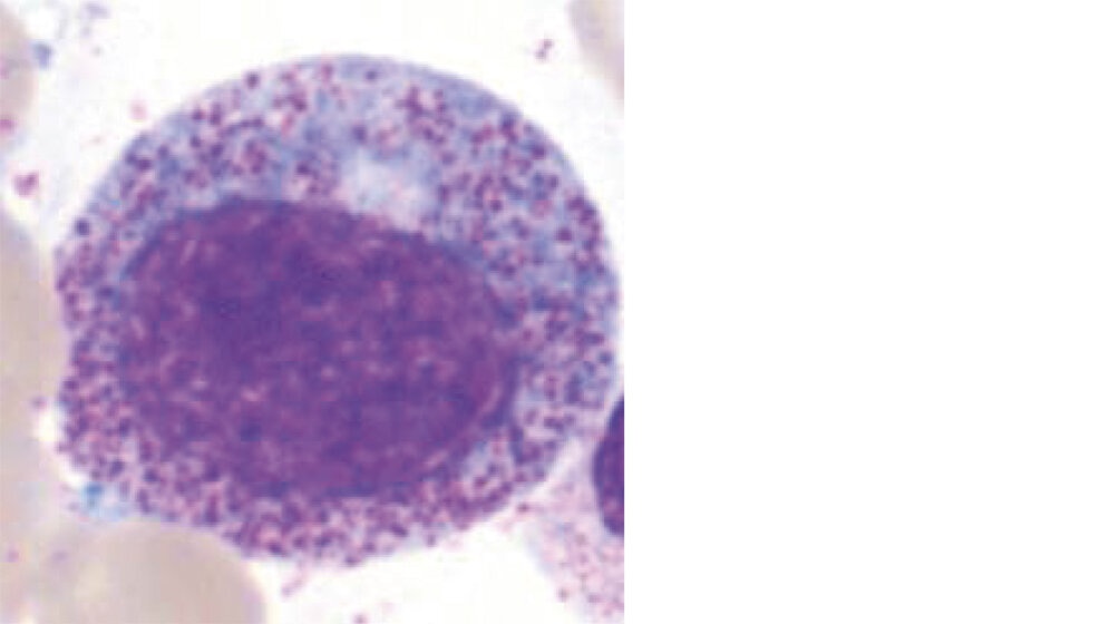
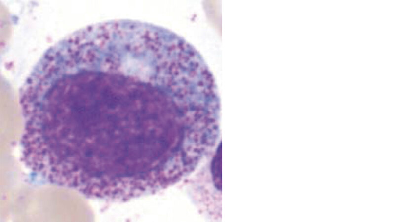
Primärgranula sind ab dem Promyelozyten nachweisbar und kommen in der neutrophilen Reihe auch in reiferen Zellvertretern vor. Strukturell handelt es sich um Lysosomen. Das sind kleine, von einer Membran umschlossene Zellorganellen, die zahlreiche (bis zu 50 verschiedene) Enzyme enthalten, darunter auch Peroxidase. Die lysosomalen Enzyme werden im endoplasmatischen Retikulum synthetisiert und im Golgi-Apparat mit einer Membran umhüllt, sozusagen zu Bläschen (Vesikel) verpackt.
Entnommen aus MTA Dialog 01/2014
Dann nutzen Sie jetzt unser Probe-Abonnement mit 3 Ausgaben zum Kennenlernpreis von € 19,90.
Jetzt Abonnent werden
