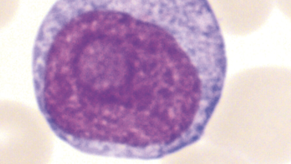
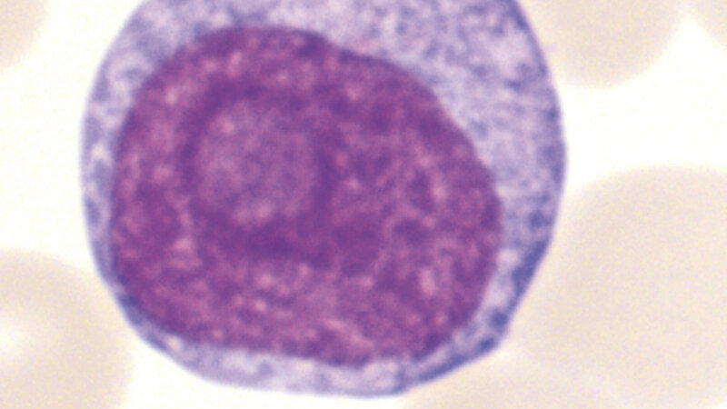
Der prominente Nukleolus kann das Vorliegen einer akuten Leukämie vortäuschen.
Prolymphozyten entsprechen atypischen lymphatischen Zellen der B- oder T-Zell-Reihe, deren Vorkommen im Blut in der Regel mit einem Non-Hodgkin-Lymphom (B-/T-Prolymphozytenleukämie, CLL) assoziiert ist.
DOI: 10.3238/MTADIALOG.2016.0224
Sie möchten die Zeitschrift abonnieren und auf alle Inhalte zugreifen?
Dann nutzen Sie jetzt unser Probe-Abonnement mit 3 Ausgaben zum Kennenlernpreis von € 19,90.
Jetzt Abonnent werden
