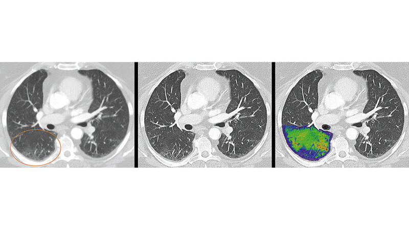
Mit einem völlig neuartigen Systemkonzept und einer bahnbrechend neuen Detektortechnologie bereiten die CT-Experten den Weg für eine neue Ära der Computertomografie, die die Grundlage vieler medizinischen Entscheidungen bildet, betont das Unternehmen. Mithilfe der revolutionären Bilder quantenzählender CTs sollen mehr Menschen in aller Welt von präziseren und schonenderen Untersuchungen bei niedriger Strahlen- und Kontrastmitteldosis profitieren können – in der Onkologie und bei der Herz-Diagnostik ebenso wie etwa bei der Verlaufskontrolle bei COVID-19 oder anderen Lungenerkrankungen. Der quantenzählende Computertomograf vereine bislang unerreicht hohe Bildschärfe und -kontraste mit extrem kurzer Aufnahmezeit und liefere neue diagnostische Informationen, die auf herkömmlichen CT-Bildern nicht zu sehen seien. Der Deutsche Zukunftspreis ist eine der höchsten deutschen Auszeichnungen für Technik und Innovation und wird am 17. November 2021 von Bundespräsident Frank-Walter Steinmeier in Berlin verliehen. Das Produkt befindet sich in der Entwicklungsphase und ist deshalb noch nicht käuflich zu erwerben. Die zukünftige Verfügbarkeit kann laut Siemens Healthineers nicht garantiert werden.
Weitere Informationen unter www.siemens-healthineers.com/de
Entnommen aus MTA Dialog 10/2021
Artikel teilen

