Erkennung und Schweregrad
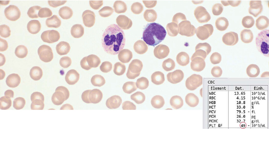
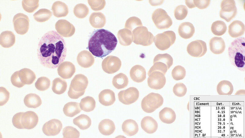
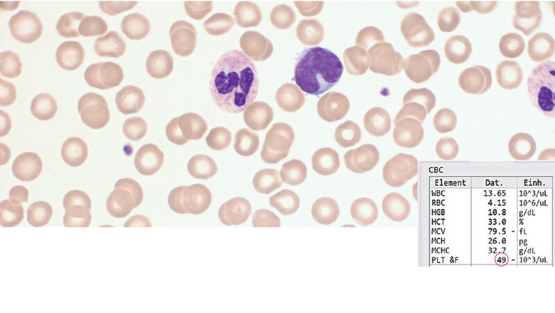
Eine TP wird oft zufällig bei der Routinekontrolle des Blutbildes festgestellt. Die Thrombozytenbestimmung erfolgt zunächst meist mittels Impedanz- oder Widerstandsmethode. Zeigt sich hierbei eine TP, wird eine Kontrollmessung zur Plausibilitätskontrolle erforderlich. Dabei sollte eine zweite Methode mittels Fluoreszenz (zum Beispiel PLT-F-Messung, Fa. Sysmex), eine optische Messung (zum Beispiel PLT-O, Fa. Sysmex), eine antikörperbasierte Bestimmung (CD41- oder CD61-Messung, Fa. Abbott) oder eine Kammerzählung eingesetzt werden. Damit sollten methodenbedingte Fehlerquellen ausgeschlossen werden (vgl. Thrombopoese Teil 3, MTA Dialog 7/19). Eine bestätigte TP ist ein Symptom, das zur Erkennung der Ursache weiter abgeklärt werden muss. Abhängig vom Ausmaß der TP kann eine erhebliche Blutungsneigung vorliegen. Klinisches Erkennungsmerkmal der TP sind Petechien, das heißt punktförmige Einblutungen aus Kapillargefäßen in die Haut oder Schleimhäute. Unter Einbeziehung klinisch relevanter Blutungsparameter lässt sich die TP nach WHO-Kriterien in 4 Schweregrade einteilen [3]. Ausgehend vom Thrombozytenwert empfiehlt sich die Einteilung gemäß Common Terminology Criteria for Adverse Events (CTCAE) des US National Cancer Institute [6].
DOI: 10.3238/MTADIALOG.2020.0008
Entnommen aus MTA Dialog 1/2020
Dann nutzen Sie jetzt unser Probe-Abonnement mit 3 Ausgaben zum Kennenlernpreis von € 19,90.
Jetzt Abonnent werden



