Toxoplasmosediagnostik (1)
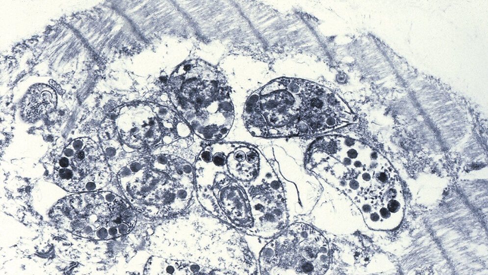
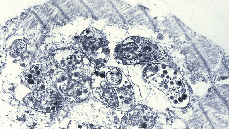
Die Toxoplasmose ist weltweit verbreitet. Sie ist eine der häufigsten Infektionskrankheiten des Menschen. Der Erreger Toxoplasma gondii gehört innerhalb der Protozoen zu den Sporozoiten. Der Mensch infiziert sich in der Regel peroral durch Aufnahme von Oozysten mit lebensfähigen Trophozoiten, durch mit Katzenkot kontaminiertes Gemüse und Obst oder durch direkten Kontakt mit Oozysten bei der Gartenarbeit. Eine Infektion ist aber auch durch den Genuss von unzureichend erhitztem zystenhaltigen Fleisch (Schwein, Schaf, Ziege) möglich. Eine Toxoplasmose verläuft in circa 90 % der Fälle inapparent mit Bildung von trophozoitenhaltigen Zysten im Gewebe, die jahrzehntelang persistieren können und somit eine Immunität aufrechterhalten. Von klinischer Relevanz sind Reaktivierungen einer latenten Infektion bei immunsupprimierten Personen sowie die erstmalige Infektion während der Schwangerschaft mit daraus sich entwickelnder pränataler Toxoplasmose. Die meisten pränatal infizierten Kinder weisen bei der Geburt keine Symptome auf, können aber bis zum 20. Lebensjahr Spätschäden entwickeln.
DOI: 10.3238/MTADIALOG.2016.0404
Dann nutzen Sie jetzt unser Probe-Abonnement mit 3 Ausgaben zum Kennenlernpreis von € 19,90.
Jetzt Abonnent werden
