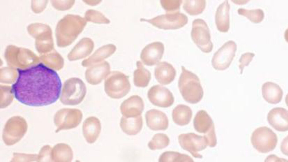
Die Tränentropfenform (TTF) des Erythrozyten, Synonym Dakryozyt (engl.: teardrop erythrocyte), ist eine pathologische Erythrozytenform, die durch eine einzelne spornartige Ausziehung an einem Erythrozytenpol das Aussehen eines Wassertropfens (Tränentropfen) oder einer Birne aufweist.
Zusammenfassung
Es besteht ein Zusammenhang zwischen dem Vorkommen von TTF der Erythrozyten und einer vergrößerten Milz (Splenomegalie). Vermutlich kommt es bei der Milzpassage der Erythrozyten zur Verformung, indem diese mit Milzmakrophagen interagieren und wobei eine irreversible Ausziehung resultiert.
Entnommen aus MTA Dialog 06/2015
Sie möchten die Zeitschrift abonnieren und auf alle Inhalte zugreifen?
Dann nutzen Sie jetzt unser Probe-Abonnement mit 3 Ausgaben zum Kennenlernpreis von € 19,90.
Jetzt Abonnent werden
