Veränderungen des Weichgewebes 5.3: Tornwaldt-Zyste
Zusammenfassung
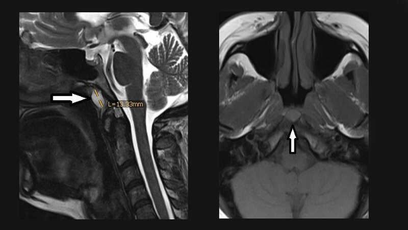
Die Tornwaldt-Zysten treten in der Mittellinie des Nasopharynx oberhalb des oberen Schlundschnürers auf. Die Zyste kann mit Einschränkung der Nasenatmung, laufender Nase, Hörstörung und anderer unspezifischer klinischer Manifestation vergesellschaftet sein. Obwohl selten vorkommend, sollte sie auch in die Differenzialdiagnose von Nackenschmerzen und Bewegungseinschränkung einbezogen werden.
Schlüsselwörter: Tornwaldt-Zyste, Röntgen, CT, MRT
Abstract
Tornwaldt cysts occur in the midline bursa of the nasopharynx above the upper border of the superior constrictor muscle. Sometimes the cyst is associated with the obstruction of nasal breathing, runny nose, hearing impairment, and other non-specific clinical manifestations. Although rare, it should be kept as a differential diagnosis for cervical myalgia and stiffnes.
Keywords: Tornwaldt cyst, x-ray, CT, MRI
DOI: 10.3238/MTADIALOG.2019.0960
Entnommen aus MTA Dialog 11/2019
Dann nutzen Sie jetzt unser Probe-Abonnement mit 3 Ausgaben zum Kennenlernpreis von € 19,90.
Jetzt Abonnent werden
