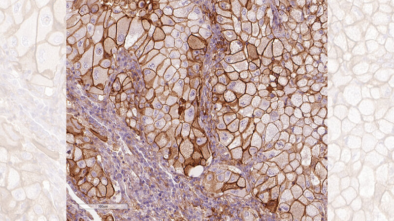
Den Einfluss von PD-L1 auf die Prognose bei Lungenkrebs hat Dr. Karolina Edlund vom Leibniz-Institut für Arbeitsforschung an der TU Dortmund (IfADo) erforscht. Bei Krebs kommen verschiedene Therapien zum Einsatz. Von besonderem Interesse ist die Krebsimmuntherapie, bei welcher von Krebszellen zunächst gehemmte Immunzellen wieder aktiviert werden. Für die Aufklärung der zugrunde liegenden Mechanismen haben James Allison und Tasuku Honjo 2018 den Nobelpreis für Medizin erhalten. Bei dieser innovativen Therapieform ist es wesentlich zu wissen, wie sich die Krebszellen gegen das Immunsystem zur Wehr setzen. Dazu nutzen Krebszellen beispielsweise das Molekül Programmed Death Ligand 1, kurz PD-L1. Mittels PD-L1 kann die Krebszelle Rezeptoren auf den Immunzellen blockieren und so die Zelle in einen Dornröschenschlaf versetzen. Dr. Karolina Edlund vom IfADo hat in einer aktuellen Studie grundlegende Beobachtungen gemacht, um den Einfluss des Immunsystems besser zu verstehen.
NSCLC untersucht
Edlund und internationale Kollegen untersuchten dazu zelluläre und molekulare Profile von nicht kleinzelligen Lungentumoren (NSCLC, non-small cell lung cancer), der häufigsten Lungenkrebsart. Die Daten stammten aus zwei großen Kohorten mit 705 Lungenkrebspatientinnen und -patienten aus Schweden. Diese Patienten hatten relativ kleine Tumore, so dass sie operiert werden konnten.
Die Forschenden konnten anhand der umfangreichen Daten darlegen, dass eine hohe Zahl bestimmter Immunzellen im Tumorgewebe eindeutig mit einer besseren Prognose einhergeht und damit frühere Studien bestätigen. Bei den Immunzellen handelt es sich um Plasma- und T-Zellen. Plasmazellen können Antikörper produzieren. T-Zellen prüfen Zelloberflächen auf abweichende Muster, zerstören als fremd erkannte Zellen oder schlagen Alarm und aktivieren weitere Immunzellen. Die Studienergebnisse belegen: Je mehr T- und Plasmazellen im Tumorgewebe vorhanden sind, desto länger ist die Überlebenszeit. Diese günstige Wirkung war in schnell wachsenden Tumoren sogar stärker ausgeprägt.
PD-L1 Ausschüttung des Tumors und Rauchverhalten
Ein sehr überraschendes Ergebnis war, dass sich zunächst kein Zusammenhang von PD-L1 mit der Überlebenszeit der Lungenkrebspatienten zeigte. Eigentlich hatten die Forschenden einen solchen Zusammenhang erwartet. Erst bei der Betrachtung von Krebszellen von Patienten, die noch nie geraucht hatten, zeigte sich ein signifikanter Zusammenhang mit PD-L1: Je mehr PD-L1, desto kürzer ist ihre Überlebenszeit. In Zukunft wird es also wichtig sein, bei der Planung von Therapiestudien die PD-L1 Ausschüttung des Tumors und das Rauchverhalten zu berücksichtigen. (idw, red)
Edlund K, Madjar K, Mattsson JSM, et al.: Prognostic Impact of tumor cell PD-L1 expression and immune cell infiltration in NSCLC. Journal of Thoracic Oncology (2019), DOI: doi.org/10.1016/j.jtho.2018.12.022.
Artikel teilen






