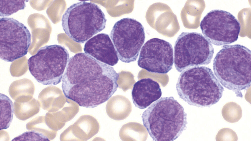
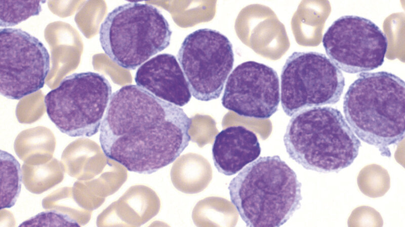
Mantelzell-Lymphome gehören zu den B-Non-Hodgkin-Lymphomen (B-NHL). Es handelt sich um autonome Erkrankungen, die von einer B-lymphatischen Ursprungszelle ausgehen.
Die Ätiologie der Lymphom-Entstehung ist weitgehend unklar. Genetische und infektiöse Ursachen, aber auch Rauchen sollen sich begünstigend auswirken.
DOI:10.3238/MTADIALOG.2016.0710
Sie möchten die Zeitschrift abonnieren und auf alle Inhalte zugreifen?
Dann nutzen Sie jetzt unser Probe-Abonnement mit 3 Ausgaben zum Kennenlernpreis von € 19,90.
Jetzt Abonnent werden
