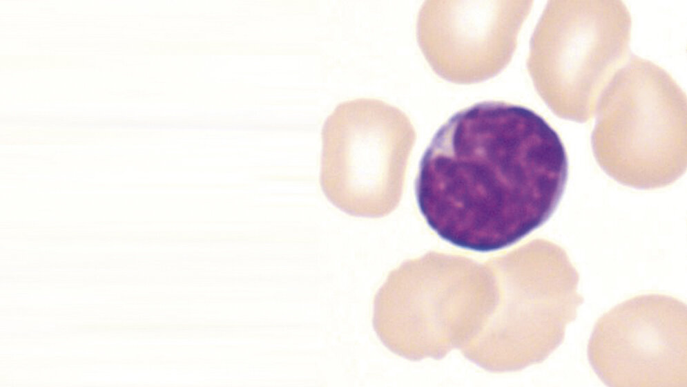
Zentrozyten (engl. centrocyte, cleaved cell) sind B-Lymphozyten, die physiologisch im lymphatischen Gewebe, insbesondere den sekundären lymphatischen Organen, den Lymphknoten vorkommen. Man unterscheidet je nach Lokalisation im Lymphknoten zwei Typen von Zentrozyten: Keimzentrums- und Mantelzonen-Zentrozyten, letztere werden auch als Mantelzellen bezeichnet. Keimzentrums-Zentrozyten gehen durch Ausreifung und Differenzierung aus Zentroblasten hervor. Mantelzonen-Zentrozyten sind B-Lymphozyten, die sich in der Mantelzone eines Lymphfollikels im Lymphknoten befinden. Das zytologische Erkennungsmerkmal beider ist ein eingekerbter, das heißt an der Kernzirkumferenz eingezogener Zellkern.
DOI: 10.3238/MTADIALOG.2016.0601
Dann nutzen Sie jetzt unser Probe-Abonnement mit 3 Ausgaben zum Kennenlernpreis von € 19,90.
Jetzt Abonnent werden
