Premium
Bildgebende Verfahren
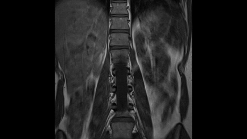
Zufallsbefunde: Nierenagenesie
Schnittbilddiagnostik der Wirbelsäule (7.20)
Die aktuelle Publikation zeigt eine Nierenagenesie rechts als weiteren Zufallsbefund.
Entnommen aus MTA Dialog 09/2014
Sie möchten die Zeitschrift abonnieren und auf alle Inhalte zugreifen?
Dann nutzen Sie jetzt unser Probe-Abonnement mit 3 Ausgaben zum Kennenlernpreis von € 19,90.
Jetzt Abonnent werden
