Serologie und Histologie spielen die entscheidende Rolle
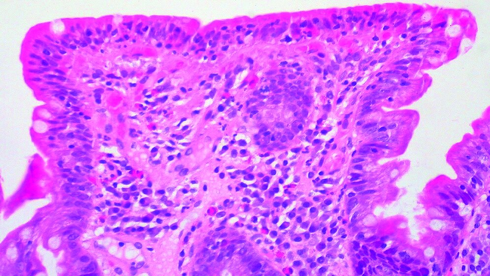
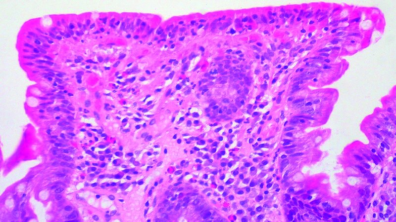
Zöliakie ist eine durch das Getreideprotein Gluten bedingte, immunologisch vermittelte, chronisch-entzündliche Darmerkrankung. Sie führt zu histologischen Veränderungen der Dünndarmschleimhaut, in deren Folge es zu intestinalen wie auch extraintestinalen Symptomen kommt. Die Diagnose erfolgt über einen serologischen Nachweis und eine Dünndarmhistologie. Die gestellte Diagnose wird durch die Besserung der Symptome infolge einer konsequenten glutenfreien Diät bestätigt.
DOI: 10.3238/MTADIALOG.2016.0096
Dann nutzen Sie jetzt unser Probe-Abonnement mit 3 Ausgaben zum Kennenlernpreis von € 19,90.
Jetzt Abonnent werden
