Abstract
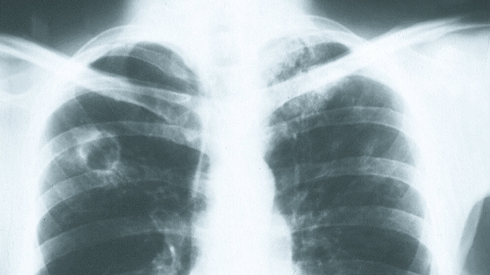
In outpatient clinics and hospitals, the occurence of unexpected cases of active tuberculosis (TB) often causes irritation among medical personal and contact patients. Occupational precautions such as wearing masks and gowns serves to lower the infection risk. In case of unprotected contacts with infectious patients, structured follow-up examinations by the occupational medical service are required. In case latent infection has occurred, preventive therapy reduces the risk of clinically overt infection.
Taken and translated from MTA Dialog 02/2017
Dann nutzen Sie jetzt unser Probe-Abonnement mit 3 Ausgaben zum Kennenlernpreis von € 19,90.
Jetzt Abonnent werden
