Atherosklerose gehört zu den häufigsten Todesursachen in Deutschland: Dabei lagern sich Cholesterin und andere Fette in die innere Wandschicht arterieller Blutgefäße ein und verengen diese. Das kann den Blutfluss behindern und Herzinfarkte oder Schlaganfälle auslösen. Zur Behandlung setzen Ärzte auf die Lipidsenkung, oft mit Statinen. Allerdings verringern diese Medikamente laut LMU nur bei 35 bis 40 Prozent aller Betroffenen das Risiko kardiovaskulärer Erkrankungen; rund 60 Prozent seien weiterhin gefährdet. Neue Ansatzpunkte für Therapien könnte das Immunsystem eröffnen, da Atherosklerose mit chronisch-entzündlichen Vorgängen einhergeht. Ein Team um Professor Esther Lutgens und Dr. Dorothee Atzler vom Klinikum der LMU haben jetzt einen wichtigen Teilschritt der beteiligten Immunreaktion entschlüsselt.
Immuntherapien als neue Strategie bei Atherosklerose?
Wie das Team vom Institut für Prophylaxe und Epidemiologie der Kreislaufkrankheiten (Direktor: Prof. Dr. Christian Weber) und von der Universität Amsterdam zeigte, könnte die sogenannte CD40L/CD40-Achse eine vielversprechende Zielstruktur sein, um Atherosklerose zu verhindern. Das Membranprotein CD40L wird von speziellen Zellen des Immunsystems hergestellt und ist Bindungsstelle für das CD40-Protein von antigenpräsentierenden Zellen. Allerdings hat CD40L, je nachdem, welche Zellen beteiligt sind, ganz unterschiedliche Aufgaben im Körper. Die LMU-Wissenschaftler haben nun speziell T-Zellen und Thrombozyten in einem Tiermodell untersucht und konnten nachweisen, dass für Atherosklerose anfällige Mäuse mit einem CD40L-Mangel in bestimmten T-Zellen weniger Interferon-gamma ausschütten als der Wildtyp ohne diesen Mangel.
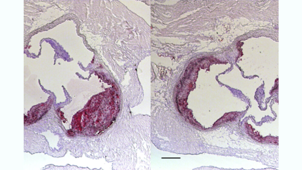
Kleinere, stabilere Plaques bei CD40L-Mangel
Interferon-gamma ist ein immunstimulierendes Protein. In den genetisch veränderten Mäusen mit CD40L-Mangel fanden die Wissenschaftler kleinere, stabilere atherosklerotischen Plaques. Die Hemmung von CD40L könnte demnach Ablagerungen in Blutgefäßen stabiler machen und damit Herzinfarkte verhindern. Ähnliche Befunde zum Schutz durch CD40L-Mangel traten bei Mäusen mit CD40-Mangel in dendritischen Zellen auf. In Blutplättchen beeinflusste ein Mangel an CD40L die Atherosklerose nicht. Jedoch traten weniger Atherosklerose-bedingte Blutgerinnsel auf.
Ziel: Neue Medikamente
„Unsere Ergebnisse belegen unterschiedliche, zellspezifische Funktionen von CD40L/CD40 bei Atherosklerose, was Auswirkungen auf therapeutische Strategien hat, die auf diesen Signalweg abzielen“, sagt Lutgens. Ihr Team untersucht die Effekte von CD40 und CD40L bei unterschiedlichen Zelltypen nun weiter. Ihr Ziel ist, neue Medikamente zu entwickeln, die Zelltyp-spezifisch auf diese Proteine abzielen. Das könnten etwa kleine Moleküle oder Antikörper mit zwei Bindungsstellen sein.
Lacy, M., Bürger, C., Shami, A. et al. Cell-specific and divergent roles of the CD40L-CD40 axis in atherosclerotic vascular disease. Nat Commun 12, 3754 (2021), DOI: doi.org/10.1038/s41467-021-23909-z.
Quelle: idw/LMU
Artikel teilen





