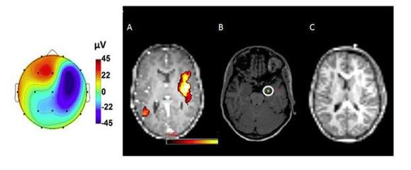
Mediziner träumen seit über 20 Jahren davon, die elektrische Aktivität des Gehirns in einem Kernspintomographen nachzuweisen. Forschern des Inselspitals ist es nun gelungen, diesen Traum mit einer weltweit einzigartigen Methode zu verwirklichen. Dabei werden die elektrischen Felder nicht direkt gemessen, sondern indirekt durch ihren Effekt auf Magnetfelder. Während elektrische Felder im gesunden Gehirn allerdings zu schwach sind, um eine messbare Störung des Magnetfeldes zu erzeugen, können die Neuroradiologen diese nun dort messen, wo sie kurzfristig stärker ausgeprägt sind: Bei Patienten mit Epilepsie.
Das Forschungsteam um den Physiker Dr. Claus Kiefer und die Mediziner Eugenio Abela, Kaspar Schindler und Roland Wiest aus dem Support Center for Advanced Neuroimaging (SCAN) am Institut für Diagnostische und Interventionelle Neuroradiologie und der Universitätsklinik für Neurologie am Inselspital nutzte die neue Methode in einer Pilotstudie mit acht Epilepsie-Patienten. Dabei fand man heraus, dass die neu entwickelte MR Sequenz Magnetfeldstörungen selbst in tiefen Regionen des Hirns sichtbar macht, welche ein sonst zum Einsatz kommendes Oberflächen-EEG nie erreicht. Damit wird es möglich, den Ursprung der epileptischen Anfälle noch genauer einzugrenzen, was v.a. denjenigen Patienten zu Gute kommt, welche im „normalen“ MRI keine strukturellen Auffälligkeiten zeigen.

Zusätzlich zeigten die Forscher auf, dass nach einer Operation anfallsfreie Epilepsie-Patienten auch tatsächlich keine derartigen Magnetfeldstörungen mehr aufweisen – ihr Hirn also ähnlich „störungsfrei“ funktioniert wie das gesunder Menschen. Patienten, welche weiterhin Anfälle hatten, zeigten dagegen noch die typischen pathologischen Signale.
Die revolutionäre Bildgebungsmethode ist durch die Universität Bern patentiert und wird bisher nur am Inselspital angeboten. Der Vorteil: Kommen Epilepsie-Patienten, denen Medikamente nicht weiterhelfen, ohnehin zur MRI-Untersuchung, so können nur acht zusätzliche Minuten im MRI die Ursprungsregion der übermäßigen elektrischen Hirnaktivität besser eingrenzen. Und das, auch wenn die Patienten aktuell keinen Anfall haben. Denn die Methode ist so sensibel, dass sie auch schwache epileptische Aktivität erfasst, welche zwischen den eigentlichen Anfällen vorhanden ist.
Entnommen aus MTA Dialog 4/2016
Artikel teilen

